Envoi du mail en cours
 

Toutes les actualités scientifiques

Page 257 sur 307        Premier  Précédent  252  253  254  255  256  257  258  259  260  261  Suivant  Dernier
Cancer du sein
Article Commenté
Source : N Engl J Med. 2014 Jun 1. [Epub ahead of print]
L’arrivée des inhibiteurs de l’aromatase en pré-ménopause
Dr Philippe Barthélémy Institut de cancérologie de Strasbourg - Strasbourg
La supériorité des inhibiteurs d’aromatase sur le tamoxifène en situation adjuvante chez les patientes ménopausées souffrant d’un cancer du sein est établie depuis plusieurs années. La suppression ovarienne est quant à elle une option utilisée dans les cancers du sein chez les femmes non ménopausées soit en cas de contre-indication au tamoxifène soit en association avec ce dernier. La question du bénéfice d’une association inhibiteurs d’aromatase et blocage ovarien en préménopause restait quant à elle sans réponse.
C’est maintenant chose faite avec 
Et si on parlait de lui
Article Commenté
Source : J Bone Miner Res. 2014 Mar 18. doi: 10.1002/jbmr.2221.
Altérations de la densité minérale osseuse volumétrique, des paramètres micro-architecturaux et de la résistance osseuse au radius distal chez des hommes atteints de polyarthrite rhumatoïde
Pr Julien Paccou CHRU - Lille
Les auteurs de cette étude ont évalué au radius distal, chez des hommes chinois atteints de polyarthrite rhumatoïde (PR), la densité minérale osseuse volumétrique (DMOv), la microarchitecture osseuse et les caractéristiques biomécaniques (analyse en éléments finis) grâce à un micro-scanner périphérique à haute résolution (HR-pQCT).
Cinquante hommes PR (moyenne d’âge de 61,1 ans) ont été comparés à 50 témoins appariés sur l’âge. La densité minérale osseuse par DXA (DMOa) a été mesurée au rachis, à la hanche et au radius distal.
Article Commenté
Source : J Bone Miner Res. 2014;29:1005-14.
Altérations de la densité minérale osseuse volumétrique et des paramètres micro-architecturaux au radius distal et ultradistal chez des hommes et des femmes atteints de polyarthrite rhumatoïde
Pr Julien Paccou CHRU - Lille
Les auteurs de cette étude ont évalué au radius distal et ultradistal, chez des hommes et des femmes atteints de polyarthrite rhumatoïde (PR), la densité minérale osseuse volumétrique (DMOv) et la microarchitecture osseuse grâce à un micro-scanner périphérique à haute résolution (HR-pQCT).
Quatre-vingt-dix patients PR (moyenne d’âge de 53,6 ± 12,8 ans, 60 hommes pour 30 femmes) ont été comparés à 70 témoins (40 hommes pour 30 femmes) appariés sur l’âge, le sexe et l’indice de masse corporel. La densité minérale osseuse volumétrique (DMOv), les caractéristiques géométriques 
Article Commenté
Source : J Bone Miner Res. 2014;29:1054-60.
Quel est le risque de fracture de hanche chez les patients diabétiques de type 1 et 2 ?
Pr Julien Paccou CHRU - Lille
Les auteurs de cette étude ont évalué le risque de fracture de hanche chez des patients diabétiques de type 1 et 2 comparativement à une population de sujets non diabétiques en utilisant les informations obtenues à partir d’une base de données nationale écossaise.
Les informations ont été obtenues pour tous les sujets diabétiques de type 1 et 2 (âgés entre 20 et 84 ans) entre janvier 2005 et décembre 2007 : cas prévalent en 2005 (n=19,083 type 1 et n=144,480 type 2) et cas incidents en 2007 (n=2625 et n=50,673). 
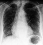
De la difficulté de la médecine
Cas Clinique
Source : Osteonews mai 2014
De la difficulté de la médecine
Dr Jacques Fechtenbaum Hôpital Cochin - Paris
Gehlbach et collaborateurs ont publié dans Osteoporosis International en 2000 :
Les radiologies pulmonaires de 934 femmes de plus de 60 ans hospitalisées pour diverses raisons ont été relues. Une fracture vertébrale (FV) était présente chez 130 patientes.
La FV était signalée dans le Compte Rendu (CR) radiologique dans 52% des 130 patientes, signalée dans la conclusion du CR dans 23%, une ostéoporose fracturaire était signalée dans 17% dans le CR médical et une ostéoporose a été traitée dans 7%.
Cancer du sein
Article Commenté
Source : Ann Oncol 2014 ; 25: 592-598.
L’association anthracycline et trastuzumab en 1ère ligne métastatique : intérêt en cas de tumeur non hormono-dépendante ?
Dr Séverine Guiu ICM, Institut régional du Cancer de Montpellier - Montpellier
Dès les premières études, la toxicité cardiaque de l’association anthracyclines et trastuzumab a été soulignée et à conduit à utiliser ces 2 traitements de façon séquentielle et non concomitante [1]. Cependant, les anthracyclines restent une thérapeutique majeure dans le cancer du sein, notamment HER2 positif, certainement par une co-amplification fréquente du gène de la topo-isomérase 2A.
Une étude de phase III publiée récemment dans Annals of Oncology par Baselga et al. rapporte les résultats de l’addition d’un traitement par doxorubicine liposomale (Myocet®, moins cardiotoxique que la doxorubicine) à un traitement par 
Cancer du sein
Article Commenté
Source : Clin Cancer Res., 2014 ; 20 : 1757-1767.
De l'existence de mutations du gène codant pour le récepteur alpha des estrogènes qui le rend constitutivement actif chez des patientes multi-traitées pour un cancer du sein RE+
Pr Florence Dalenc Institut Claudius Regaud - Toulouse
Les auteurs de ce travail ont dans un premier temps recherché la prévalence de mutation au niveau du gène ESR1, par séquençage haut débit nouvelle génération au niveau de 249 tumeurs mammaires conservées en paraffine ; 134 échantillons de cancer RE+, dont 58 tumeurs primitives non prétraitées et 76 métastases (patientes +/- prétraitées) + 115 échantillons de cancer RE neg.
Une mutation n’a été retrouvée que dans la population ayant une tumeur RE+ et prétraitées avec une prévalence globale de 12% (9/76) et de 20% parmi les patientes les plus lourdement exposées à des agents anti-cancéreux 
Cancer du sein
Article Commenté
Source : J Clin Oncol. 2014 ; 32(14):1437-44.
Résultats d’une étude de phase Ib/IIA concernant l’association Pertuzumab + T-DM1 chez des patientes ayant un cancer du sein HER2+ localement avancé ou métastatique
Pr Florence Dalenc Institut Claudius Regaud - Toulouse
Cette étude évalue une fois de plus l’intérêt clinique d’un double blocage HER2 chez des patientes qui ont déjà reçu du trastuzumab (TTZ). Elle  a été conduite en deux parties : la phase Ib s’est intéressée à rechercher la Dose Limitante Toxique de l’association T-DM1 (délivré à 3 puis 3.6 mg/kg) + pertuzumab (PTZ) (n=9) et la phase IIa dont l’objectif premier était d’évaluer le taux de réponse objective (RO) (n=58).
Quarante-trois patientes étaient lourdement prétraitées et avaient reçu du lapatinib pour 72% d’entre-elles, de la capécitabine
Cancer du sein
Article Commenté
Source : JNCI 2014 ; 106 (2) : djt376.
Signature protéique permettant d’identifier les Tumeurs Triples Négatives N- de mauvais pronostic
Dr Laura Mansi service oncologie, CHU de Besançon - Besançon
Les Tumeurs Triples Négatives (TTN) sont les cancers du sein les plus agressifs, et au sein même de ce sous-type histologique il existe une grande hétérogénéité. Environ 30% des patientes atteintes d’un cancer du sein TTN sans atteinte ganglionnaire (N-) vont développer des métastases à distances (1). Aucun marqueur pronostique n’a été à ce jour identifié, et actuellement les guidelines recommandent la chimiothérapie adjuvante (2).
Cependant, quelques publications ont suggéré une approche protéique dans l’identification d’une signature pronostique (3-7).
Et si on parlait de lui
Article Commenté
Source : AIDS 2013 ; 27:2425-2430.
Variations à 2 ans de la densité minérale osseuse chez des hommes ostéopéniques infectés par le VIH-1 et traités par antirétroviraux
Pr Julien Paccou CHRU - Lille
La découverte d’une ostéopénie est relativement fréquente chez les hommes infectés par le VIH et traités par antirétroviraux (de 22 à 65%), mais nous ne disposons que de peu d’informations concernant l’évolution de la densité minérale osseuse (DMO) chez ces patients. L’objectif de cette étude était d’évaluer cette variation DMO à 2 ans en cas d’ostéopénie initiale et d’identifier les facteurs favorisants d’une évolution défavorable. 
Cette étude a regroupé des hommes infectés par le VIH-1 évalués au cours de la phase d’inclusion de l’essai thérapeutique Fosivir et non inclus car 
Pédiatrie
Article Commenté
Source : J Clin Endocrinol Metab. 2014 ; 99(1):330-7.
Le taux maternel anténatal de 25-OH vitamine D est-il déterminant dans le développement musculaire au cours de l’enfance ?
Pr Julien Paccou CHRU - Lille
Dans les études observationnelles, le taux maternel anténatal de 25-OH vitamine D est associé de façon positive à la masse osseuse et de façon négative à la masse grasse dans l’enfance. La vitamine D est également impliquée dans le développement musculaire des enfants. Par contre, nous ne disposons que de peu d’informations concernant le rôle éventuel du statut maternel anténatal de 25-OH vitamine D sur le développement musculaire au cours de l’enfance.
Le but de cette étude était d’évaluer l’association entre le statut maternel anténatal de 25-OH vitamine D 
Et si on parlait de lui
Compte Rendu
Source : Osteonews avril 2014
Variations à 1 an de la densité minérale osseuse chez des hommes infectés par le VIH
Pr Julien Paccou CHRU - Lille
L’objectif de cette nouvelle étude, présentée en communication orale lors du dernier congrès de l’ESCEO, était 1) d’évaluer les variations de la DMO à 1 an chez des hommes ayant une infection chronique par le VIH et 2) d’identifier les facteurs favorisants d’une évolution défavorable.
Cette étude a regroupé 400 hommes infectés par le VIH, âge moyen de 47 ans, 94% Caucasoïde, médiane depuis le diagnostic de 9,1 ans. Parmi ces patients, 92% étaient sous antirétroviraux avec une charge virale indétectable pour la majorité d’entre eux.
Lors de la visite initiale, la prévalence de l’ostéopénie au rachis lombaire, à la hanche
Page 257 sur 307        Premier  Précédent  252  253  254  255  256  257  258  259  260  261  Suivant  Dernier
Newsletters