Envoi du mail en cours
 

Toutes les actualités scientifiques

Page 1891 sur 3549        Premier  Précédent  1886  1887  1888  1889  1890  1891  1892  1893  1894  1895  Suivant  Dernier
Vos patients ont lu
Source : Transplantation rénale janvier 2018
« Elle sauve sa soeur en lui donnant un rein »
C’est ce que titre Corse Matin, qui relève qu’« après le prélèvement de rein qui l'a beaucoup affaiblie, Lydia va retrouver le cours de sa vie avec son époux et ses trois enfants. Véronique, quant à elle, ne rêve qu'à une chose : découvrir la Corse avec sa fille ». Le journal constate que « la jeune femme a encore du mal à intégrer l'idée invraisemblable qu'elle porte le rein de sa sœur jumelle ». Véronique déclare ainsi : « Ces 4 dernières...
Vos patients ont lu
Source : Transplantation rénale janvier 2018
« Le formidable message d'espoir d'Imad, greffé d'un rein à 8 ans »
Closer relate sur son site « une leçon de vie. Voilà ce qui résume au mieux le petit Imad, bientôt 9 ans ». L’article explique qu’« Imad a le cœur à droite. Il est né avec les organes inversés et a dû partir d'urgence d'Algérie pour être greffé du rein. Au début de l'année, il expliquait […] : "Ils vont m'ouvrir, ils vont me mettre un nouveau rein et ils vont l'emballer. Pour moi c'est pas difficile, mais pour vous, je sais, c'est difficile". Déjà il faisait...
Cancer du sein
Article Commenté
Source : J Clin Oncol. 2017 Dec 15 : JCO2017747824.
Hormonothérapie + double blocage anti-HER2 : une alternative au schéma taxane + trastuzumab + pertuzumab pour des patientes « choisies » ?
Pr Florence Dalenc Institut Claudius Regaud - Toulouse
La plupart de nos patientes qui entrent dans la maladie métastatique d’un cancer du sein HER2+, se voient proposer un traitement par taxane + trastuzumab + pertuzumab depuis la parution des résultats de l’étude CLEOPATRA, quel que soit le statut des récepteurs hormonaux (RH). Il existe pourtant une place probable pour un autre choix thérapeutique dans des situations cliniques choisies. Lorsqu’il existe...
Gastro-entérologie
Article Commenté
Source : J Clin Oncol 2017 ; 36:61-67
Tolérance et efficacité du pembrolizumab, antiPD-1, chez des patients avec un carcinome oesophagien avancé et/ou métastatique prétraité
Pr Jean-Marc Phelip CHU - Saint-Etienne
Le pembrolizumab, antiPDL-1, a été évalué en phase Ib dans plusieurs cohortes de tumeurs solides montrant une efficacité intéressante (KEYNOTE-028). Les auteurs rapportent dans ce travail les résultats de tolérance et d’efficacité de la cohorte « œsophage ». Au total, 23 patients avec un adénocarcinome (22%) ou un carcinome épidermoïde (78%) de l’œsophage avancé et/ou métastatique, et avec un...
Article Commenté
Source : Eur Urol. 2017 Dec 13. doi: 10.1016/j.eururo.2017.12.001
Immunothérapie et chimiothérapie combinées dans le carcinome urothélial... début de l'histoire
Dr Marine Gross-Goupil CHU Saint André - Bordeaux
L’immunothérapie n’a jamais été si près de notre pratique quotidienne dans le traitement des carcinomes urothéliaux, que déjà des données de stratégies de combinaison avec la chimiothérapie arrivent. Il s’agit ici des données, présentées à l’oral au GUASCO de 2016 (Abstr 357), d’efficacité et de tolérance de la combinaison gemcitabine-cisplatine, avec l’ipilimumab, en 1ère ligne de carcinomes urothéliaux...
Confirmation du bénéfice clinique du nivolumab en deuxième ligne pour les cancers non à petites cellules des bronches avancés ou métastatiques
Cancer du poumon
Article Commenté
Source : J Clin Oncol. 2017 ; 35(35):3924-3933.
Confirmation du bénéfice clinique du nivolumab en deuxième ligne pour les cancers non à petites cellules des bronches avancés ou métastatiques
Pr Jean-Louis Pujol CHU et IRCM INSERM U 1194 - Montpellier
Cette publication rapporte l’analyse intégrative des deux études ayant comparé le nivolumab au docétaxel en deuxième ligne pour les cancers épidermoïdes métastatiques (CheckMate 017) et pour les adénocarcinomes (CheckMate 057). Son principal intérêt réside dans l'étude des courbes de survie à deux ans avec une fiabilité certaine, puisque l'analyse a été faite alors que le dernier malade inclus...
Cancer du sein
Vos patients ont lu
Source : Cancero.net - Bimensuelle janvier 2018
« Cancer du sein : les aveugles au coeur du dépistage »
« A l'hôpital de Cali en Colombie, des femmes malvoyantes ou aveugles sont formées comme auxiliaires d'examens tactiles pour détecter le cancer du sein », « selon la méthode du Dr Hoffmann, appliquée en Allemagne et en Autriche », fait savoir Top Santé. « Elle a été mise en place en Colombie, avec le soutien de la banque de développement de l'Amérique latine (CAF). Les personnes atteintes d'un handicap...
Cancer du sein
Vos patients ont lu
Source : Cancero.net - Bimensuelle janvier 2018
« Produits capillaires chimiques : risque accru de cancer du sein ? »
Dans sa chronique, le Pr David Khayat, chef de service de cancérologie à la Pitié-Salpêtrière révèle que « l'utilisation de produits capillaires "chimiques" (teintures, lissants) pourrait augmenter le risque de développer un cancer du sein », selon « une étude publiée dans la revue " Carcinogenesis " ». Des chercheurs américains « ont recruté plus de 2 200 femmes dont la moitié étaient atteintes de cancer du sein...
Cancer du sein
Vos patients ont lu
Source : Cancero.net - Bimensuelle janvier 2018
« De l'acupuncture contre la douleur articulaire pendant un cancer du sein »
« Les femmes sous hormonothérapie pour venir à bout d'un cancer du sein peuvent souvent souffrir de douleurs articulaires, l'un des effets indispensables du traitement. L'acupuncture serait efficace pour les soulager et ainsi les inciter à continuer la prise en charge selon une récente étude », fait savoir Santé Magazine. « Des chercheurs du SWOG, un réseau d'essais cliniques sur le cancer financé par le National...
Cancer du sein
Vos patients ont lu
Source : Cancero.net - Bimensuelle janvier 2018
« Cancer du sein : [le ribociclib] reconnu comme "thérapie innovante" »
Sciences et Avenir fait savoir que « le groupe pharmaceutique suisse Novartis a obtenu le statut "thérapie innovante" ("breakthrough therapy") de la part de l'agence américaine des médicaments (FDA) pour son médicament [ribociclib] utilisé dans le traitement des cancers du sein ». « Ce médicament lorsqu'il est utilisé en combinaison avec une thérapie endocrinienne orale par des patientes souffrant d'un cancer du...
Cancer du sein/Cancer du poumon
Vos patients ont lu
Source : Cancero.net - Bimensuelle janvier 2018
« Cancer du poumon : bientôt plus mortel que le cancer du sein ? »
« Le cancer du sein, première cause de décès par cancer chez la femme, serait en passe d'être dépassé par le cancer du poumon. Ce cancer, déjà première cause de décès par cancer chez l'homme, semble faire de plus en plus de victimes chez les femmes… », alerte Femme Actuelle. D’après l'Agence Santé Publique, dans un rapport sur "les projections d'incidence et de mortalité par cancer", « en 2017, 400.000 nouveaux...
 
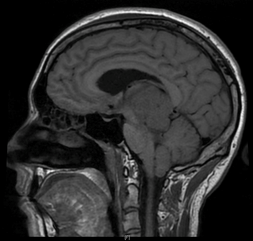
Céphalées, perte de poids chez un jeune adulte
Neuro-oncologie
Cas Clinique
Source : NeuroScoop.net - Actu'Hebdo janvier 2018
Céphalées, perte de poids chez un jeune adulte
Dr Victor Basse CHRU Brest - Brest
- Patient de 24 ans sans antécédents particuliers.
- Depuis environ 10 mois, vomissements matinaux soulageant des céphalées frontales dans un contexte de perte de poids.
- Syndrome cérébelleux statique.
- Diplopie horizontale binoculaire, nystagmus, paralysie de la verticalité...
Page 1891 sur 3549        Premier  Précédent  1886  1887  1888  1889  1890  1891  1892  1893  1894  1895  Suivant  Dernier
Le village sport & santé