Envoi du mail en cours
 

Toutes les actualités scientifiques

Page 2198 sur 3559        Premier  Précédent  2193  2194  2195  2196  2197  2198  2199  2200  2201  2202  Suivant  Dernier
Rhumatismes inflammatoires : polyarthrite rhumatoïde/Bio-thérapeutiques
Article Commenté
Source : Ann Rheum Dis 2016 ; 75:75-83
Traitement de la PR débutante sévère par certolizumab pegol : résultats à 1 an de l’étude C-OPERA
Pr René-Marc Flipo CHU - Lille
Plusieurs études ont démontré la supériorité d’efficacité de l’association du MTX à un biomédicament dans la prise en charge de la PR débutante sévère (supériorité versus MTX monothérapie). Pour le certolizumab, les études dites pivots sont l’étude intitulée C-EARLY pour les populations caucasiennes et l’étude C-OPERA pour la population japonaise...
Rhumatismes inflammatoires : polyarthrite rhumatoïde/Bio-thérapeutiques
Article Commenté
Source : Ann Rheum Dis 2016 ; 75:1272-8
PR et cancer du col utérin : un risque augmenté même en l’absence de traitement anti-TNFalpha ?
Pr René-Marc Flipo CHU - Lille
Les traitements immunosuppresseurs constituent un facteur de risque établi quant à l’augmentation d’incidence des cancers induits par les virus dont les cancers du col utérin. Dans la PR, un premier travail a montré une augmentation potentielle de plus de 50% concernant les dysplasies utérines de haut grade, alors que 2 études sur de faibles effectifs...
Myopathies
Article Commenté
Source : Arthritis Care Res 2016 ; 68:1012-20
Myopathies inflammatoires : rechercher l’atteinte cardiaque !
Pr Eric Hachulla CHRU - Lille
En fonction des séries, l’atteinte cardiaque touche 6 à 75% des patients atteints de polymyosite (PM) ou dermatomyosite (DM). Il s’agit d’une cause majeure de mort subite. Diederichsen et coll. ont mené une étude prospective chez 76 patients atteints de PM/DM en comparant les résultats à une population contrôle appariée en âge et en sexe...
Lupus
Article Commenté
Source : Curr Opin Rheumatol. 2016 ; 28(5):453-9.
Atteinte cutanée du lupus : comment on traite ? comment ça marche ?
Pr Eric Hachulla CHRU - Lille
Environ 70% des patients lupiques ont ou ont eu des manifestations cutanées. On peut les classer en lupus cutané aigu, subaigu ou chronique. Les inducteurs de l’inflammation cutanée incluent les ultraviolets, l’activation innée de la production de cytokines par les kératinocytes. L’induction de la mort cellulaire va activer la voie de signalisation...
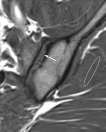
Un signal IRM anormal dans l’interligne sacro-iliaque : un nouveau signe diagnostique de spondyloarthrite ?
Rhumatismes inflammatoires : spondylarthropathies
Article Commenté
Source : Eur Radiol. 2016 Sep 20. [Epub ahead of print]
Un signal IRM anormal dans l’interligne sacro-iliaque : un nouveau signe diagnostique de spondyloarthrite ?
Pr Thao Pham CHU Sainte-Marguerite - Marseille
L’IRM des sacro-iliaques a pris une part importante dans les critères diagnostiques des spondyloarthrites. Selon l’ASAS, le diagnostic de sacro-iliite repose sur la seule présence d’œdème médullaire en « quantité suffisante ». Cependant, il existe d’autres anomalies telles que les enthésites, l’épanchement articulaire, les érosions, etc. Selon les recommandations...
Les dons d'ovocytes sont associés à des accouchements prématurés par rapport à des Fécondations in vitro intra couple lors de grossesses uniques
Reproduction
Article Commenté
Source : Fertil Steril. 2016 ; 106(3):660-5.
Les dons d'ovocytes sont associés à des accouchements prématurés par rapport à des Fécondations in vitro intra couple lors de grossesses uniques
Dr Mehdi Benchaib Hôpital Femme Mère Enfant - Lyon
Le but de ce travail est de déterminer si les accouchements issus d'un don d'ovocytes par rapport aux Fécondations in vitro intra couple sont à l'origine d'un risque accru d'accouchement prématuré, d'enfant avec un poids à la naissance plus bas, d'un poids de l'enfant inferieur par rapport à l'âge gestationnel, et d'un risque augmenté de décès périnatal...
 
Quels sont les bénéfices et inconvénients des transferts au stade de J2/J3 et au stade de blastocyte ?
Reproduction
Article Commenté
Source : Fertil Steril. 2016 ; 106(2):244-50.
Quels sont les bénéfices et inconvénients des transferts au stade de J2/J3 et au stade de blastocyte ?
Dr Jessika Moreau CHU - Toulouse
La sélection embryonnaire est une problématique en médecine de la reproduction qui ne cesse d’alimenter les études. Avec l’arrivée de nouveaux milieux de culture ou encore d’incubateurs de type time-lapse, la sélection embryonnaire grâce à la culture prolongée s’est développée et tente de s’imposer. Son intérêt fait toutefois débat depuis plusieurs années...
Place de l’hystéroscopie diagnostique en cas d’échecs d’implantations répétées après Fécondation In Vitro : une étude multicentrique randomisée contrôlée. L’étude TROPHY
Reproduction
Article Commenté
Source : Lancet. 2016 ; 387(10038):2614-21.
Place de l’hystéroscopie diagnostique en cas d’échecs d’implantations répétées après Fécondation In Vitro : une étude multicentrique randomisée contrôlée. L’étude TROPHY
Pr Christophe Poncelet CH René Dubos - Pontoise
L’hystéroscopie diagnostique systématique avant toute tentative de FIV-ICSI se justifie-t-elle ? Une méta-analyse a suggéré que l’hystéroscopie diagnostique pouvait améliorer l’issue de tentatives d’assistance médicale à procréation avec transfert d’embryon chez des patientes qui avaient eu des échecs répétés d’implantation. Toutefois, les études...
Reproduction
Article Commenté
Source : Physiol Rev. 2016 ; 96(1):55-97
Altérations de la reproduction chez l'homme et baisse de la fertilité : influence de l'environnement et susceptibilité génétique
Dr Mohamed Benahmed CHU de Nice - Nice et Dr Claire Mauduit (Médecin en charge de l'assistance médicale à la procréation - Hopital Lyon-Sud - Oullins)
Au cours du 20ème siècle, une diminution constante du taux de fertilité a été observée (taux de fertilité total (TFT) : nombre de naissances vivantes par femme), pour atteindre un niveau en dessous du taux de remplacement. Les effets, à moyen terme, seront une baisse appréciable de la population, en particulier au Japon et en Europe. Aux Etats-Unis, la situation est plus contrastée car le TFT reste élevé...
Signification clinique des dépôts d’IgM et de C3 dans le syndrome néphrotique primitif associé à des lésions de hyalinose segmentaire et focale
Article Commenté
Source : Clin J Am Soc Nephrol. 2016 ; 11(9):1582-9.
Signification clinique des dépôts d’IgM et de C3 dans le syndrome néphrotique primitif associé à des lésions de hyalinose segmentaire et focale
Dr Pierre Bataille Hôpital Docteur Duchenne - Boulogne-sur-Mer
La présence de dépôts d’immunoglobulines M (IgM) parfois associée à des dépôts de la fraction C3 du complément n’est pas exceptionnelle sur les biopsies rénales provenant de patients atteints de hyalinose segmentaire et focale (HSF) et présentant un syndrome néphrotique. La signification de ces dépôts est cependant incertaine. S’agit-il d’une...
Article Commenté
Source : Clin J Am Soc Nephrol. 2016 ; 11(9):1597-605
Effets du tenapanor sur la prise de poids inter-dialytique chez les patients hémodialysés
Dr Pablo Antonio Ureña Torres AURA Nord - Saint-Ouen
La prise de poids entre deux séances de dialyse chez les patients hémodialysés est étroitement associée à des complications cardiovasculaires et à un risque accru de mortalité. L’importance de cette prise de poids est influencée directement par les apports hydriques et sodés inter-dialytiques. Dans cette étude, les auteurs ont évalué...
Article Commenté
Source : Am J Transplant. 2016 Jul 12. doi: 10.1111/ajt.13958.
Caractérisation allélique et épitopique des anticorps anti-HLA intra-greffon post transplantectomie
Dr Rebecca Sberro-Soussan Hôpital Necker - Paris
La transplantectomie après la perte du greffon rénal est souvent pratiquée, c’est une cause favorisante d’allo-immunisation anti-HLA. Une synthèse de DSA (donor specific antibodies) de novo dont le mécanisme est mal élucidé, est fréquente après ce geste. Une des hypothèses serait l’absence de détection des anticorps dans le sang au moment de...
Page 2198 sur 3559        Premier  Précédent  2193  2194  2195  2196  2197  2198  2199  2200  2201  2202  Suivant  Dernier
Le village sport & santé