Envoi du mail en cours
 

Toutes les actualités scientifiques

Page 2169 sur 3497        Premier  Précédent  2164  2165  2166  2167  2168  2169  2170  2171  2172  2173  Suivant  Dernier
Vos patients ont lu
Source : Coeur.net - Actu Hebdo juin 2016
« AVC : savoir agir rapidement »
« Chaque année, plus de 150 000 personnes sont concernées par un AVC (…). D'où l'importance d'en repérer les premiers symptômes », rappelle Notre Temps. Le magazine évoque le cas de Denise dont le mari est subitement arrivé avec « la bouche de travers » et « ne [pouvant] plus parler ni répondre à [ses] questions »...
Une pastille à faire fondre dans la tête : deux cas cliniques
Neuro-oncologie
Cas Clinique
Source : NeuroScoop.net - Actu'Hebdo juillet 2016
Une pastille à faire fondre dans la tête : deux cas cliniques
Pr Johan Pallud CH Sainte-Anne, Université Paris-Descartes - Paris
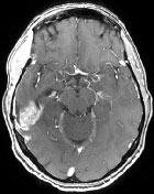
Cas clinique n°1. Chimiothérapie in situ en 1ère ligne avec protocole Stupp. Patient de 58 ans, droitier, KPS 100. Crise d’épilepsie partielle motrice inaugurale. Découverte d’une lésion nécrotique fronto-centrale droite...
Une pastille à faire fondre dans la tête : deux cas cliniques
Neuro-oncologie
Cas Clinique
Source : NeuroScoop.net - Actu'Hebdo juillet 2016
Une pastille à faire fondre dans la tête : deux cas cliniques
Pr Johan Pallud CH Sainte-Anne, Université Paris-Descartes - Paris
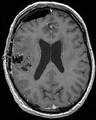
Cas clinique n°2. Patiente de 41 ans, droitière, KPS 100 présentant des céphalées inaugurales qui conduisent à la découverte d’une lésion nécrotique temporale droite. Résection sub-totale de la prise de contraste sous neuronavigation IRM...
Étude de décroissance de l’étanercept dans la spondylarthrite ankylosante
Rhumatismes inflammatoires : spondylarthropathies
Article Commenté
Source : J Rheumatol. 2015 ; 42(7):1177-85.
Étude de décroissance de l’étanercept dans la spondylarthrite ankylosante
Pr Thao Pham CHU Sainte-Marguerite - Marseille
Les données de maintien de l’efficacité des anti-TNF en cas de décroissance des posologies dans la spondylarthrite ankylosante (SA) sont peu nombreuses. L’étude ANSWERS (ANkylosing Spondylitis With Etanercept RegimeS) est un essai pragmatique, ouvert, contrôlé, randomisé, de non-infériorité évaluant si la réponse clinique obtenue...
PR et mortalité : une moindre sévérité…
Rhumatismes inflammatoires : polyarthrite rhumatoïde/Bio-thérapeutiques
Article Commenté
Source : J Rheumatol 2015 ; 42:2221-8
PR et mortalité : une moindre sévérité…
Pr René-Marc Flipo CHU - Lille
Plusieurs études ont montré qu’il existait au cours de la PR une surmortalité toutes causes confondues et notamment cardiovasculaires ; le SMR se situant en règle générale entre 1,2 et 1,3. Ce travail brésilien a souhaité analyser les causes de mortalité dans la PR...
Traitement de la PR par biomédicaments en monothérapie : résultats du registre DANBIO
Rhumatismes inflammatoires : polyarthrite rhumatoïde/Bio-thérapeutiques
Article Commenté
Source : Rheumatology 2015 ; 54:2156-65
Traitement de la PR par biomédicaments en monothérapie : résultats du registre DANBIO
Pr René-Marc Flipo CHU - Lille
Dans la PR, il est en règle recommandé d’utiliser les agents biologiques quels qu’ils soient en association à un csDMARD et notamment le méthotrexate (MTX). Pour autant, toutes les études observationnelles montrent que 20 voire 30% des patients sont traités par biomédicaments en monothérapie...
La goutte est associée à une fréquence anormalement élevée de dysfonctions érectiles !
Article Commenté
Source : J Rheumatol 2015 ; 42 :1893-7
La goutte est associée à une fréquence anormalement élevée de dysfonctions érectiles !
Pr René-Marc Flipo CHU - Lille
Les dysfonctions érectiles s’observent chez près de 50 % des hommes âgés entre 40 et 70 ans ; avec une fréquence qui augmente avec l’âge et qui reste étroitement liée aux maladies cardiovasculaires (CV) car ayant des facteurs de risque commun, notamment le diabète, l’hypertension artérielle, l’obésité…
Article Commenté
Source : J Rheumatol 2015 ; 42:1898-905
Fréquence de la dysfonction érectile chez les sujets goutteux : résultats de la cohorte de Taïwan
Pr René-Marc Flipo CHU - Lille
La goutte est volontiers associée à certaines comorbidités comme le diabète, l’hypertension artérielle… d’où la prévalence élevée des affections cardiovasculaires (CV) et dans certaines études de la dysfonction érectile. En population générale, on reconnaît qu’il s’agit...
Article Commenté
Source : JAMA. 2016 ; 315(18):1975-88.
Macitentan et ulcérations digitales ischémiques au cours de la sclérodermie : résultats de 2 essais randomisés
Pr Eric Hachulla CHRU - Lille
Le Macitentan est un nouvel antagoniste des récepteurs de l’endothéline approuvé dans le traitement de l’hypertension artérielle pulmonaire. Khanna et coll. rapportent les résultats de 2 larges essais randomisés et ont évalué l’efficacité du Macitentan dans la prévention des ulcérations digitales ischémiques de la sclérodermie systémique...
Lupus
Article Commenté
Source : Lupus. 2016 ; 25(5):505-12.
Lupus systémique : quelle définition donner à la rémission ?
Pr Eric Hachulla CHRU - Lille
Le lupus systémique (SLE) est une maladie chronique auto-immune pour laquelle il n’y a pas à ce jour de vrai consensus pour définir exactement ce qu’est la rémission. Schneider et coll. rapportent le point de vue de rémission lupique de différents médecins européens. On comptait 50 patients français, 50 allemands, 50 italiens, 49 espagnols et 55 anglais...
c-MET : mutation exon 14 comme driver ?
Cancer du poumon
Article Commenté
Source : J Clin Oncol. 2016 ; 34(7):721-30.
c-MET : mutation exon 14 comme driver ?
Pr Jean-Louis Pujol CHU et IRCM INSERM U 1194 - Montpellier
Le récepteur c-MET (mesenchymal to epithelial transition) est potentiellement impliqué dans le développement de certains cancers non à petites cellules. Ce récepteur admet comme ligand l'HGF (hepatocyte growth factor/scatter factor). En réponse à cette interaction et à la dimérisation qui s'ensuit, la phosphorylation de la partie tyrosine kinase...
Vaccin thérapeutique, TG4010… le premier signal positif
Cancer du poumon
Article Commenté
Source : Lancet Oncol. 2016 ; 17(2):212-23
Vaccin thérapeutique, TG4010… le premier signal positif
Pr Jean-Louis Pujol CHU et IRCM INSERM U 1194 - Montpellier
Il y a deux façons d'aborder le paradigme de l'immunothérapie des cancers bronchiques non à petites cellules (CBNPC) : administrer des vaccins thérapeutiques pour stimuler les effecteurs de l'immunité anti-tumorale, ou donner des inhibiteurs des protéines de contrôle de l'immunité (ICI) pour en supprimer les freins...
Page 2169 sur 3497        Premier  Précédent  2164  2165  2166  2167  2168  2169  2170  2171  2172  2173  Suivant  Dernier
Le village sport & santé