Envoi du mail en cours
 

Toutes les actualités scientifiques

Page 2468 sur 3497        Premier  Précédent  2463  2464  2465  2466  2467  2468  2469  2470  2471  2472  Suivant  Dernier
Rhumatismes inflammatoires : polyarthrite rhumatoïde/Bio-thérapeutiques
Article Commenté
Source : Semin Arthritis Rheum 2013 ; 43:9-17
Le facteur rhumatoïde est-il un facteur prédictif de réponse pour le rituximab ? l’abatacept ? le tocilizumab ? Résultats d’une méta-analyse
Pr René-Marc Flipo CHU - Lille
La médecine personnalisée devrait nous conduire à proposer le « bon » traitement, au « bon » moment, pour le « bon » patient. L’existence de facteurs prédictifs de réponse est de plus en plus importante à mesure que l’arsenal thérapeutique s’enrichit, ce qui est le cas aujourd’hui pour la PR, alors que nous disposons d’une dizaine de biomédicaments.
Pour le moment, la présence de facteur rhumatoïde a été signalée comme étant significativement associée à un meilleur taux de réponse sous RTX. Les données sont moins importantes concernant d’autres biomédicaments comme
Rhumatismes inflammatoires : spondylarthropathies
Article Commenté
Source : Rheumatology 2013 ; 52:1873-8
Quid des spondyloarthrites dites indifférenciées ? L’expérience du Centre d’Amsterdam
Pr René-Marc Flipo CHU - Lille
La spondylarthrite ankylosante et le rhumatisme psoriasique peuvent être considérés comme des « sous-types » bien définis des spondyloarthrites… à côté des spondyloarthrites associées aux MICI, des arthrites réactionnelles et donc des spondyloarthrites indifférenciées. Ce travail néerlandais avait pour objectif principal d’analyser les caractéristiques et la réponse au traitement de ces formes dites indifférenciées.
Il s’agit d’une étude de cohorte, observationnelle où les patients ont été inclus entre juin 2007 et mars 2010. Le diagnostic
Article Commenté
Source : Cancer. 2013 Nov 20. doi: 10.1002/cncr.28485.
La survie globale et spécifique des hommes présentant un adénocarcinome prostatique d’emblée métastatique n’a pas été améliorée au cours des 20 dernières années
Dr Vincent Misrai Clinique Pasteur - TOULOUSE
Le Dr Jennifer Wu (service d’urologie, Davis Medical Center, université de Californie) et les coauteurs de cette étude publiée en novembre dernier dans « Cancer », sont malheureusement arrivés à cette conclusion.
Certes, la mortalité par cancer de la prostate aux États-Unis a diminué de près de 40% au cours des 25 dernières années mais la contribution du PSA pour la détection précoce du cancer de la prostate reste controversée.
Les auteurs ont tenté de déterminer si la baisse de cette mortalité
Article Commenté
Source : Eur Urol 2014, 65(1):115-123.
Une nouvelle ère concernant les rapports entre la testostérone et le cancer de la prostate
Dr Grégory Bozzini CHRU de Lille - Lille
Les bénéfices de la supplémentation androgénique par testostérone dans l’hypogonadisme masculin sont nombreux et bien démontrés. Toutefois, depuis les années 1940, la testostérone est réputée dangereuse pour la prostate, bien que sans preuve solide, et ce dogme reste encore très présent dans la pratique actuelle des urologues.
Se pose donc la question de la possibilité d’une supplémentation androgénique chez les patients à risque ou ayant des antécédents de cancer de la prostate.
Dans une revue de littérature récente, Khera et al. ont recensé
Article Commenté
Source : Eur Urol. 2014 ; 65(1):20–5.
Résultats à long terme des patients avec métastases ganglionnaires traités par prostatectomie totale sans hormonothérapie adjuvante
Dr François Audenet HEGP, AP-HP - Paris
L’existence d’un cancer de la prostate peu différencié (score de Gleason ≥8) ou d’un stade avancé (envahissement des vésicules séminales ou métastases ganglionnaires) sont des facteurs pronostiques majeurs qui influencent la mortalité spécifique.
Dans les formes localement avancées, l’association prostatectomie totale et radiothérapie adjuvante ou de rattrapage a montré un bénéfice en terme de survie. Cependant, en cas de métastases ganglionnaires, la stratégie thérapeutique n’est pas clairement établie.
L’étude randomisée ECOG EST 3886
Article Commenté
Source : Eur Urol. 2014 Jan 9. pii: S0302-2838(13)01491-7. doi: 10.1016/j.eururo.2013.12.063.
Efficacité et tolérance de la castration par antagonistes de la LH-RH dans la prise en charge du cancer de la prostate
Dr Thomas Seisen CHU Pitié-Salpêtrière, AP-HP - Paris
L’hormonothérapie de première ligne par agonistes ou antagonistes de la LH-RH est le traitement de référence du cancer de la prostate métastatique mais présente également certaines indications dans la prise en charge de la maladie à des stades plus précoces.
L’étude pivot de phase III publiée par Klotz et al. en 2008 a permis de démontrer la non infériorité des antagonistes (dégarélix) comparés aux agonistes (leuprolide) de la LH-RH après un an de traitement avec même un bénéfice clinique en termes de survie sans progression biologique.
D’autres essais comparatifs ont également
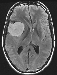
Les méninges tourmentées
Cas Clinique
Les méninges tourmentées
Dr Karima Mokhtari GHP Salpêtrière - paris
Clinique :
Patient âgé de 35 ans, présentant depuis quelques mois des troubles de l’humeur. Céphalées depuis 1 semaine.
 
Quel est votre diagnostic ?
 
Imagerie IRM conventionnelle :
Volumineuse lésion temporale droite apparaissant sous forme d’une masse bien limitée, en hypersignal FLAIR relativement homogène. En T2, aspect hyperintense plus hétérogène, pseudo-lobulé.
Après injection de gadolinium, très importante prise de contraste un peu hétérogène ; à noter une prise de contraste méningée associée à type de « dural tail » traduisant une réaction de voisinage et l’origine méningée probable de la lésion.
Rhumatismes inflammatoires : polyarthrite rhumatoïde
Article Commenté
Source : J Rheumatol 2013 ; 40:572-8
Traitement de la PR et prédiction de réponse : résultats de l’étude TEAR
Pr René-Marc Flipo CHU - Lille
Le traitement de la PR récente a pour objectif « cible » l’obtention de la rémission ou au minimum du LDA à 3 mois voire à 6 mois. L’absence de réponse au traitement après 3 mois conduit selon les études et les auteurs à envisager un changement rapide de traitement de fond. Le caractère prédictif de la réponse à la semaine 12 a bien été mis en avant à partir notamment de l’étude post-hoc de l’essai contrôlé intitulé RAPID-1.
Ce travail a été conduit à partir de l’étude indépendante TEAR. L’étude TEAR correspond à cette importante étude contrôlée,
Rhumatismes inflammatoires : polyarthrite rhumatoïde
Article Commenté
Source : Arthritis Rheum 2013 ; 65:1995-2004
Quid de la présence d’ACPA chez des sujets apparentés à des patients ayant une PR ? Résultats de l’étude SERA
Pr René-Marc Flipo CHU - Lille
La PR telle que définie aujourd’hui est associée dans près de 70% des cas à la présence d’auto-anticorps et notamment de type facteurs rhumatoïdes et ACPA. Ces derniers sont actuellement détectés par ELISA de type anti-CCP, mais on sait qu’ils reconnaissent plusieurs types de protéines citrullinées (ce que certains appellent aujourd’hui le « citrullinome »). Le rôle physiopathogénique exact des ACA reste méconnu.
Pour autant, quelques études ont démontré que leur apparition et l’augmentation de leurs titres pouvaient précéder
Rhumatismes inflammatoires : polyarthrite rhumatoïde
Article Commenté
Source : Arthritis Care Res 2013 ; 65 :1401-9
La stratégie Treat to Target dans la PR établie
Pr René-Marc Flipo CHU - Lille
La stratégie Treat to Target a été électivement évaluée et validée dans le cadre de PR d’évolution récente. On peut citer ainsi les études intitulées TICORA, BeSt ou CAMERA. Cette stratégie est aujourd’hui mise en avant dans le cadre des recommandations de type EULAR 2013 et SFR 2013. Nous ne disposons néanmoins que de rares études Treat to Target dans la PR établie où l’objectif cible « acceptable » peut être le faible niveau d’activité plutôt que la rémission.
Cette étude canadienne intitulée « Optimization of Adalimumab Study » est une étude multicentrique dite vraie vie d’une durée
Rhumatismes inflammatoires : polyarthrite rhumatoïde
Article Commenté
Source : Arthritis Rheum 2013 ; 65 :890-8
Apport potentiel de l’échographie dans le diagnostic de la PR à la lumière des critères ACR/EULAR 2010
Pr René-Marc Flipo CHU - Lille
Le diagnostic de PR débutante peut s’appuyer sur les critères de classification proposés par l’ACR et l’EULAR en 2010 ; critères ayant pour finalité l’introduction ou non d’un 1er traitement de fond et notamment du méthotrexate (MTX). Ces critères justifient actuellement l’existence préalable d’au moins 1 synovite clinique.
La pondération peut aller jusqu’à 5 points (sur les 6 requis…) selon la topographie et le nombre d’articulations atteintes. Or, l’échographie (et l’IRM) est un examen dont on reconnaît aujourd’hui la plus grande sensibilité
Article Commenté
Source : Pharmacoepidemiology Drug Safety 2013 ; 22:559-70
Infarctus du myocarde et AINS : la dernière méta-analyse conduite à partir d’études observationnelles
Pr René-Marc Flipo CHU - Lille
L’année 2013 a été marquée par un retour de l’actualité sur les risques cardiovasculaires et notamment d’infarctus du myocarde (IDM) sous AINS. Ainsi, y a-t-il eu une mise en garde particulière vis-à-vis du diclofénac.
Cette nouvelle méta-analyse est publiée par C. Varas-Lorenzo. Elle est conduite sur des études observationnelles et l’analyse du risque d’IDM aigu. La littérature a été revue jusqu’au mois de mai 2011. Chaque molécule AINS a été étudiée individuellement avec recherche potentielle d’un effet dose.
Page 2468 sur 3497        Premier  Précédent  2463  2464  2465  2466  2467  2468  2469  2470  2471  2472  Suivant  Dernier
Le village sport & santé