Envoi du mail en cours
 

Toutes les actualités scientifiques

Page 2477 sur 3497        Premier  Précédent  2472  2473  2474  2475  2476  2477  2478  2479  2480  2481  Suivant  Dernier
Rhumatismes inflammatoires : polyarthrite rhumatoïde
Article Commenté
Source : J Rheumatol 2013 ; 40:1823-30
Analyse comparative du traitement de la PR récente : une prise en charge qui est loin d'être « standardisée » - L'expérience canadienne
Pr René-Marc Flipo CHU - Lille
La prise en charge de la PR récente s'appuie aujourd'hui sur des référentiels et des recommandations qui mettent en avant l'importance d'une stratégie dite ciblée et du contrôle serré. Au-delà d’un consensus général, la prise en charge de la PR récente en pratique quotidienne fait encore l'objet d'une diversité des pratiques.
C'est ce qui est illustré par ce travail canadien qui, à partir de la cohorte prospective CATCH, a comparé les niveaux d'activité de la maladie et les prescriptions thérapeutiques de 8 des 17 sites canadiens investigateurs 
Lupus
Article Commenté
Source : Arthritis Rheum. 2013 ; 65(11):2887-97.
Céphalées et lupus : les différents visages
Pr Eric Hachulla CHRU - Lille
Afin d’évaluer la prévalence et le type de céphalée associée au lupus systémique, Hanly et coll. ont mené une étude prospective sur 1.732 patients lupiques. Il y avait 89,3% de femmes, 48,3% étaient de race blanche. L’âge moyen était de 34,6 ± 13,4 ans, la durée d’évolution moyenne de la maladie était de 5,6 ± 5,2 mois avec un suivi de 3,8 ± 3,1 ans.
Des questionnaires étaient proposés aux patients annuellement. Seuls les patients dont le diagnostic avait été porté dans les 15 mois précédant l’entrée dans l’étude étaient invités à y participer. Cette étude a été menée
Syndrome de Sjögren
Article Commenté
Source : Arthritis Rheum. 2013 ; 65(11):2945-53.
Atteinte rénale au cours du syndrome de Sjögren primitif : quel pronostic à long terme ?
Pr Eric Hachulla CHRU - Lille
Afin d’évaluer la prévalence et l’évolution des atteintes rénales au cours du syndrome de Sjögren primitif, Goules et coll. ont analysé une population de 715 patients répondant aux critères américano-européens de Sjögren primitif. Parmi eux, 35 avaient une atteinte rénale (4,9%) avec un suivi après le diagnostic de l’atteinte rénale de 252,2 patient-années.
Treize patients avaient une néphropathie interstitielle isolée (37,1%), 17 avaient une atteinte glomérulaire isolée (48,6%) et 5 avaient une atteinte mixte (14,3%). Neuf patients sont décédés (25,7%), 11 ont développé 
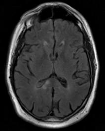
À l’abordage des vaisseaux !
Cas Clinique
À l’abordage des vaisseaux !
Dr Arnault Tauziède-Espariat AP-HP Lariboisière - Paris
Données cliniques :
  • Patient âgé de 61 ans adressé en juin 2013 pour infarctus cérébraux récidivants.
  • Histoire de la maladie :
            - 1er épisode (février 2012) : hémiparésie gauche révélant un infarctus du corps calleux à droite. Traitement par aspirine après un bilan étiologique négatif (ETT/ETO, Holter ECG des 24h, exploration des TSA, bilan immunologique, VIH, TPHA-VDRL).
            - 2nd épisode (septembre 2012) : récidive d’hémiparésie gauche, une nouvelle IRM montre des lésions récentes ischémiques dans différents territoires vasculaires. Traitement anticoagulant dans l’hypothèse d’une origine cardio-embolique.
Article Commenté
Source : Lancet Oncol. 2013 ; 14(13):1326-36.
CETUXIMAB et deuxième ligne pour les cancers non à petites cellules métastatiques. Question non résolue
Pr Jean-Louis Pujol CHU et IRCM INSERM U 1194 - Montpellier
Le CETUXIMAB en addition à une chimiothérapie de deuxième ligne influence-t-il le devenir des patients ? C'est pour répondre à cette question qu'une large étude a été menée outre-Atlantique.
Initialement l'étude prévoyait un plan factoriel (double randomisation : PEMETREXED vs DOCETAXEL ; CETUXIMAB vs mono-chimiothérapie seule).
Il n'y avait pas de différence de survie sans progression selon que les patients recevaient CETUXIMAB - PEMETREXED ou le seul PEMETREXED  : 2,8 versus 2,9 mois (hasard ratio: 1,03 - IC 95% 1,87 – 1,21, p = 0,76).
Article Commenté
Source : Lung Cancer. 2013 Nov 16. pii: S0169-5002(13)00517-5. doi: 10.1016/j.lungcan.2013.11.006.
Chimiothérapie et CETUXIMAB pour la première ligne des cancers non à petites cellules métastatiques
Pr Jean-Louis Pujol CHU et IRCM INSERM U 1194 - Montpellier
La publication de l'étude FLEX (PIRKER, Lancet, 2009;373:1525–1531) a montré un bénéfice de survie pour les patients recevant le CETUXIMAB en addition à une chimiothérapie conventionnelle (doublet cisplatine - navelbine). Cependant, cette étude a été critiquée du fait de la faible amplitude de l'effet observé et de son apparition décalée par rapport au début du traitement. De plus il n'y avait pas d'effet sur la survie sans progression.
Outre l'étude FLEX, trois autres études ont tenté la comparaison en première ligne pour des malades atteints de cancer bronchique non à 
Article Commenté
Source : Lancet Oncol. 2013 ; 14(8):777-86.
Première ligne CBNPC métastatique : chimiothérapie alternée avec les tki de l'EGFR ?
Pr Jean-Louis Pujol CHU et IRCM INSERM U 1194 - Montpellier
Peut-on encore proposer un traitement de première ligne à un patient atteint d'un cancer non à petites cellules (et particulièrement d'un adénocarcinome) pulmonaire métastatique sans en avoir préalablement caractérisé le génotype ?
C'est la question implicitement posée par cette étude de phase 3 au cours de laquelle des patients ont été randomisés pour recevoir l'erlotinib ou son placebo entre les jours 15 et 28 d'une chimiothérapie de type platine – gemcitabine (cyclant toutes les quatre semaines).
Ce traitement était délivré quel que soit 
Article Commenté
Source : J Clin Oncol. 2013 ; 31(34):4349-57.
PEMETREXED ou PACLITAXEL ? Une question non résolue
Pr Jean-Louis Pujol CHU et IRCM INSERM U 1194 - Montpellier
Pour les adénocarcinomes pulmonaires métastatiques (non mutés ou à statut mutationnel inconnu), il y a finalement deux options issues de la littérature des 10 dernières années. L'étude de l'ECOG (SANDLER, N Engl J Med. 2007;356: 2542-2550) établit l'utilité du bevacizumab en association avec le doublet paclitaxel - carboplatine, et poursuivi au-delà de la fin de la chimiothérapie.
L'étude PARAMOUNT (PAZ-ARES, Lancet Oncol. 2012;13:247-55) établit l'utilité de la maintenance de continuation par le pemetrexed. Enfin, un troisième essai, AVAPERL, suggère la faisabilité d'une double maintenance bevacizumab – pemetrexed 
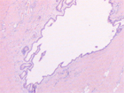
Solution du cas
Cancer du poumon
Cas a discuter
Source : e-Thorax janvier 2014
Solution du cas
Pr Jean-Louis Pujol CHU et IRCM INSERM U 1194 - Montpellier
TERATOME MATURE DU MEDIASTIN DEVELOPPE AU SEIN DE LA LOGE THYMIQUE

Description anatomopathologique macroscopique : 
- Pièce d'exérèse d'un poids de 72 g mesurant 10 x 7 cm. 
- On observe au sein du tissu adipeux la présence d'une formation kystique à contenu pâteux mesurant environ 5 x 4 cm.

Description anatomopathologique microscopique :
- On observe une formation kystique pluri-cavitaire, le plus souvent
Cancer du sein
Compte Rendu
Source : 36th Annual San Antonio Breast Cancer Symposium (SABCS)
Prévention du cancer du sein : sommes-nous prêts et convaincus ?
Pr William Jacot ICM, Institut régional du Cancer de Montpellier - Montpellier
Malgré la forte incidence du cancer du sein, la prévention de cette maladie reste un domaine de recherche très débattu. Jack Cuzick a présenté lors du SABCS 2013 les résultats de l'étude IBIS – II, simultanément à leur publication dans le Lancet [1].
Ce grand essai de phase III a évalué l'effet préventif d'un traitement par 5 ans d’anastrozole chez 3864 patientes âgées de 40 à 70 ans et présentant des facteurs de risque de cancer du sein. Après un suivi médian de 5 ans, le groupe anastrozole a présenté significativement
Cancer du sein
Compte Rendu
Source : 36th Annual San Antonio Breast Cancer Symposium (SABCS)
Place des biphosphonates dans les cancers du sein de stade précoce
Pr William Jacot ICM, Institut régional du Cancer de Montpellier - Montpellier
Une méta-analyse, présentée par Robert Coleman et analysant 17.791 patients provenant de 36 essais cliniques (77% de la population totale de ces essais), a montré un impact significatif sur la survie des biphosphonates en traitement adjuvant.
Ce bénéfice était restreint à la population des patientes post-ménopausiques (réduction de 34% des métastases osseuses : 3,9% contre 5,4%, p=0,00001 ; réduction de 17% de la mortalité par cancer du sein à 10 ans :
Cancer du sein
Compte Rendu
Source : 36th Annual San Antonio Breast Cancer Symposium (SABCS)
Notion de dose-densité dans la chimiothérapie adjuvante du cancer du sein : sommes-nous prêts à changer nos pratiques ?
Pr William Jacot ICM, Institut régional du Cancer de Montpellier - Montpellier
De nombreuses questions restent à ce jour en suspens concernant l'impact de la chimiothérapie dose - dense et du 5-fluorouracile (5-FU) comme traitement adjuvant du cancer du sein.
Francesco Cognetti a présenté les résultats d'un essai de phase III italien ayant inclus 2.091 patientes atteintes d’un cancer du sein avec envahissement ganglionnaire et âgées de moins de 70 ans.
Basé sur une double randomisation
Page 2477 sur 3497        Premier  Précédent  2472  2473  2474  2475  2476  2477  2478  2479  2480  2481  Suivant  Dernier
Le village sport & santé