Envoi du mail en cours
 

Toutes les actualités scientifiques

Page 2484 sur 3497        Premier  Précédent  2479  2480  2481  2482  2483  2484  2485  2486  2487  2488  Suivant  Dernier
Migraines et céphalées
Article Commenté
Source : Pediatr Neurol. 2013 Nov 20. pii: S0887-8994(13)00565-1. doi: 10.1016/j.pediatrneurol.2013.09.008.
Infiltration du NGO dans les céphalées chroniques en pédiatrie
Dr Anne Donnet CHU Timone - Marseille
Cette étude rétrospective porte sur 46 enfants traités par une infiltration de méthylprednisolone et lidocaïne pour un tableau de céphalées chroniques, dont l’étiologie était dominée par la migraine chronique, puis la céphalée chronique de novo. Le résultat est retrouvé significativement positif, dans l’indication migraine chronique, ceci de façon modeste puisque chez 1 patient sur 3.
La migraine chronique touche 0,8 à 1,75% des adolescents entre 12 et 17 ans. Aucune thérapie n’est actuellement approuvée dans le traitement des formes chroniques de migraines chez l’enfant.
Migraines et céphalées
Article Commenté
Source : Cephalalgia 2013 ; 33:1198-1202
La névralgie du nerf lacrymal : une entité rare à laquelle il faut penser…
Dr André Pradalier Hôpital Louis-Mourier - COLOMBES
Les auteurs rapportent deux cas d’une névralgie considérée comme très rare : la névralgie du nerf lacrimal NNL. La région de l’orbite et périorbitaire est innervée par le nerf sus-orbitaire (issu du V 1), le sus-trochléaire (issu du V 1), le sous-orbitaire (issu du V  2) et le lacrimal (issu duV 1).
L’existence de la névralgie du trijumeau, celle des nerfs sus et sous-orbitaire sont connues comme responsables de douleurs souvent intenses au niveau du front et de la région péri-orbitaire. Le lacrimal innerve la glande lacrymale, la partie externe de la paupière supérieure et une petite région fronto-temporale adjacente au canthus externe de l’œil.
Migraines et céphalées
Article Commenté
Source : Brain 2013 Nov 25. [Epub ahead of print]
Prodromes et hypothalamus : la preuve en imagerie
Dr Anne Donnet CHU Timone - Marseille
Les auteurs ont réalisé une étude visant à évaluer l’imagerie cérébrale au moment des prodromes de la crise migraineuse déclenchée par la perfusion de nitroglycérine, le PET scan étant réalisé au moment des prodromes et en condition basale.
Les patients ont été sélectionnés sur les critères suivants : migraine sans aura, évolution épisodique de la migraine, absence de traitement de fond et existence de prodromes. Huit patients sur les 25 sélectionnés sont rentrés dans le protocole dans son intégralité.
Les prodromes les plus fréquemment allégués 
Migraines et céphalées
Article Commenté
Source : Headache 2013 ; 53:1034-1053
Hypotension intracrânienne spontanée : revue de synthèse
Dr Pierric Giraud CH de la Région Annecienne - metz tessy
L’Hypotension Intracrânienne spontanée (HIs) est reconnue dans la dernière classification des céphalées sous le code 7.2.3, mais sa description est ancienne, datant de 1939 sous l’impulsion d’un médecin allemand, le Dr Schaltenbrand. La céphalée qui l’accompagne se caractérise par une recrudescence en position debout, puis une amélioration rapide après la position allongée. Des vertiges, des acouphènes, une diplopie, des nausées ou vomissements sont fréquemment associés.
De nombreux autres signes sont relatés de façon ponctuelle et de la même façon la céphalée peut être variable 
Cas a discuter
Source : e-Psy décembre 2013
Miroir
Pr Jean-Louis Pujol CHU et IRCM INSERM U 1194 - Montpellier
Questions :
1. Quel phénomène classique en post-traumatisme est à l’œuvre chez madame Paul ?
2. Monsieur Paul aide-t-il Mme Paul en adoptant une position décalée par rapport à sa belle-sœur ?

Réponses
Question 1 : c’est le clivage.
En effet, dans les propos de Madame Paul affleure la notion d'un clivage sous l'effet d'une intrusion.
Il y a donc bien eu lors de l’annonce, une perte qui prépare le clivage. Quel que soit le caractère disruptif du concept de trauma selon Ferenczi, chacun retrouvera dans cette idée d'écroulement, la description ébauchée par Freud,
Article Commenté
Source : J Thorac Oncol. 2013 ; 8(8):997-1003.
La qualité de vie et la perception de l’utilité diminuent au fil des lignes
Pr Jean-Louis Pujol CHU et IRCM INSERM U 1194 - Montpellier
Les traitements médicaux de malades atteints de cancer bronchique non à petites cellules (CBNPC)  en situation métastatique ne peuvent se limiter aux simples objectifs de survie globale ni même de survie sans progression.
Depuis une vingtaine d'années, la littérature attire notre attention sur la nécessaire incorporation de critères de jugement analysés par les patients eux-mêmes (patients reported outcomes). La qualité de vie et les échelles d'utilité, en particulier l'échelle EQ-5D, sont des outils robustes mesurant des dimensions importantes 
Article Commenté
Source : Psycho-Oncol. (2013) 7:130-136
La communication entre patient et médecin : l'écart entre l'énoncé et la perception
Pr Jean-Louis Pujol CHU et IRCM INSERM U 1194 - Montpellier
Une bonne qualité de communication serait-elle le garant d'une meilleure qualité de vie pour les patients ? On peut implicitement adhérer à cette proposition de l’auteur de cet article, de même qu’il est facile de souscrire avec lui sur le point suivant : l’approche centrée sur la maladie, telle qu’anciennement conçue comme exclusive, est la source d’un certain paternalisme du médecin exerçant un ascendant sur un patient supposé passif ; sa mutation vers une approche centrée sur le patient lui-même, telle que l'a théorisée le psychanalyste britannique Michael BALINT, est une amorce de solution.
Article Commenté
Source : Psycho-Oncol. (2013) 7:49-53
Cancer de l'adolescent : comment dire "je" sans s'exclure ?
Pr Jean-Louis Pujol CHU et IRCM INSERM U 1194 - Montpellier
Il est une figure fréquemment utilisée pour qualifier l'événement que constitue le cancer à l'adolescence : celui de la double peine.
En effet, aux transformations s'opérant au cours de la puberté, cette sorte de passage à l'acte de la nature sur le corps, vient s'additionner un deuxième changement physique, le cancer et ses traitements, en une sorte de redoublement d’un assaut sur le corps en transformation. L'adolescent perçoit alors la menace prégnante que le corps malade finisse par occulter le corps sexué.
L'article présenté ici
Article Commenté
Source : Thorax. 2012 ; 67(5):426-32.
Que sait la population générale des facteurs de risque et des signes de cancers du poumon ?
Pr Jean-Louis Pujol CHU et IRCM INSERM U 1194 - Montpellier
La question est d'importance. Il est en effet démontré que des différences de survie considérables peuvent résulter de retards dans la prise en charge diagnostique et thérapeutique des cancers bronchiques.
L'accès difficile à des soins de haute technicité, le nihilisme qui encombre encore l'esprit de certains médecins, ne sont pas les seuls obstacles à cette prise en charge. Il apparaît en effet que le niveau de connaissance formelle relative aux cancers du poumon pourrait être si faible, qu'il en résulterait un retard à la consultation médicale.
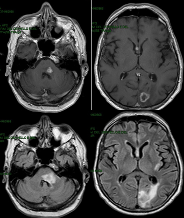
Un virus de la prolifération
Cas Clinique
Un virus de la prolifération
Dr Anna Luisa Di Stefano Paris
Homme, 62 ans.
Consultation aux urgences pour :
- paresthésie hémiface gauche,
- parésie faciale gauche périphérique,
- hypoesthésie de l'hémicorps droit,
- vertige et déséquilibre.
Temps d’installation : 1 semaine
 
ATCD :
  • Glaucome en OD
  • Lupus érythémateux systémique avec néphrite lupique (depuis 6 ans) traité par prednisone 50 mg/jour et mycophénolate 2gr/jour depuis 2 ans
  • HTA
  • BPCO

Examen neurologique

Article Commenté
Source : Rheumatology (Oxford). 2013 ; 52(10):1865-72.
Vous avez dit pseudo-polyarthrite rhizomélique ? Allez donc voir comment sont les genoux !
Pr Eric Hachulla CHRU - Lille
Environ 1 patient sur 2 atteint de pseudo-polyarthrite rhizomélique (PPR) a une atteinte articulaire périphérique et dans ce cas il s’agit le plus souvent d’une atteinte des genoux.
Cimmino et coll. ont réalisé un TEP-scan chez 19 patients atteints de PPR et 6 atteints de maladie de Horton qu’ils ont comparés à 25 patients contrôles appariés en âge et en sexe, le TEP étant réalisé dans le cadre d’un bilan d’extension de cancer.
Vingt et un des 25 patients (84%) avaient une captation anormale en regard des genoux :
Arthrose
Article Commenté
Source : Ann Rheum Dis 2013 ; 72 :930-4
Echographie et arthrose digitale érosive : une affection inflammatoire généralisée ?
Pr René-Marc Flipo CHU - Lille
L’arthrose digitale érosive constitue une forme clinique particulière et parfois difficile à distinguer d’un rhumatisme psoriasique. L’imagerie peut être utile dans le diagnostic différentiel, mais les données échographiques dans l’arthrose digitale érosive restent peu nombreuses.
Ce travail a été réalisé par l’équipe de Leiden. Il s’agit d’une évaluation clinique, radiographique et échographique réalisée chez des sujets consultants pour arthrose digitale (critères ACR). Sur le plan radiographique, les auteurs ont utilisé la classification dite de Verbruggen et Veys. L’échographie sur les 18 
Page 2484 sur 3497        Premier  Précédent  2479  2480  2481  2482  2483  2484  2485  2486  2487  2488  Suivant  Dernier
Le village sport & santé