Envoi du mail en cours
 

Toutes les actualités scientifiques

Page 2506 sur 3497        Premier  Précédent  2501  2502  2503  2504  2505  2506  2507  2508  2509  2510  Suivant  Dernier
Compte Rendu
Source : ESC CONGRESS 2013
La survie après un arrêt cardiaque atteint à peine 7% dans le registre parisien
Dr Isabelle Pierre Nantes
Le Pr Jouven a présenté les résultats d’un registre d’arrêts cardiaques extrahospitaliers sur le Grand Paris mené sur 2 ans entre décembre 2010 et décembre 2012.
La population screenée comportait 5 millions de personnes.
L'analyse a porté sur 3.670 morts subites avec tentative de récupération par manœuvres de réanimation.
La majorité des arrêts cardiaques sont survenus à domicile 72%.
Compte Rendu
Source : ESC CONGRESS 2013
Le suivi en télémédecine de patients implantés de défibrillateurs notamment triple chambre permet d'améliorer le pronostic
Dr Benoît Fouchet Marseille
Le défibrillateur et la resynchronisation ont démontré un bénéfice sur la
mortalité.
Il est actuellement possible de suivre les patients par télémédecine et d'améliorer la détection des événements que ce soit rythmique ou certains éléments liés à l'insuffisance cardiaque
L'étude a montré à un an que les patients randomisés dans le groupe télécardiologie avaient significativement
Compte Rendu
Source : ESC CONGRESS 2013
Hokusai VTE ouvre la voie à l’edoxaban dans la TVP/EP
Dr Benoît Fouchet Marseille
L’edoxaban est un antiXa oral qui a là sa première étude de phase 3.
Elle a inclus 8.292 patients dont 4.921 avaient une TVP, et 3.319 une EP.
L'âge moyen était de 56 ans.
Tous les patients ont d’abord reçu une HBPM ou héparine pendant 5-7 jours puis ont été randomisés entre edoxaban et warfarine.
On note sous warfarine,
Article Commenté
Source : J Clin Oncol. 2013 ; 31:2849-53.
Une seule drogue ou un doublet pour les cancers non à petites cellules métastatiques de PS 2 ?
Pr Jean-Louis Pujol CHU et IRCM INSERM U 1194 - Montpellier
Le traitement des patients atteints de cancer non à petites cellules (sans cible génétique activable) relève d’un doublet à base de platine, à la condition qu’ils aient un bon indice de performance (PS 0 ou 1).
Pour ceux qui ont un PS 2, les recommandations sont floues car les rapports des études de chimiothérapie sont uniformément mauvais. Aussi, toute nouvelle information sur ce sous-groupe de patients dont la présentation est extrêmement défavorable doit être accueillie avec attention.
Dans l’étude publiée par le JCO, des patients de PS 2 ont été randomisés entre 
Article Commenté
Source : J Clin Oncol. 2013 ; 31(25):3141-6.
Chirurgie du cancer bronchique non à petites cellules : le volume d’activité du chirurgien est un facteur pronostique important
Pr Jean-Louis Pujol CHU et IRCM INSERM U 1194 - Montpellier
La qualité de la chirurgie du cancer non à petites cellules serait-elle liée à la notion de « volume » d’activité de l’hôpital où elle est pratiquée ?
Oui, si l’on en croit plusieurs études américaines et une méta-analyse suggérant que les patients opérés dans des hôpitaux exerçant un grand nombre de résections majeures bénéficient des meilleurs résultats de la chirurgie. La même question est abordée par une enquête anglaise de grande échelle, publiée en juillet par le JCO.  
Article Commenté
Source : Radiology. 2013 Jul 17. [Epub ahead of print] doi: 10.1148/radiol.13121849
Quel est l'écart de deux mesures volumétriques d'un nodule mixte ?
Pr Sébastien Bommart CHU de Montpellier - Montpellier
L’article de Kim récemment publié dans Radiology évalue la reproductibilité de la quantification automatisée du volume et de la masse des nodules pulmonaires mixtes de moins de 20 mm dont la partie dense est inférieure ou égale à 5mm.
Il s’agit d’une question pertinente pour la pratique quotidienne. L’utilisation d’outils de segmentation pourrait en effet devenir un standard compte tenu des limites évidentes des critères usuels pour l’évaluation de ces entités. La nécessité d’études de validation a récemment été soulignée lors des dernières recommandations, 
Article Commenté
Source : N Engl J Med. 2013 ; 368:351-64.
Fumer tue
Pr Jean-Louis Pujol CHU et IRCM INSERM U 1194 - Montpellier
Cet article permet de connaître, sur une période de temps de cinquante ans, le lien entre le tabagisme et le décès par différentes maladies associées à cette addition.
L’amalgame des données d’études prospectives menées aux Etats-Unis depuis le début des années soixante porte sur plus d’un million d’hommes et plus d’un million de femmes ayant atteint l’âge de 55 ans. Les trois cohortes permettent l’analyse longitudinale au long de trois périodes : 1959-1965, 1982-1989 et 2000-2010.
Pendant ce demi-siècle couvert par l’étude, le tabagisme féminin n’a cessé d’augmenter 
Article Commenté
Source : Lancet Oncol. 2013 ; 14(10):981-8.
Deuxième ligne de traitement des non à petites cellules sans mutation activatrice de l'EGFR : le docétaxel est plus efficace que l'erlotinib
Pr Jean-Louis Pujol CHU et IRCM INSERM U 1194 - Montpellier
Pour les patients qui échappent à la chimiothérapie fondée sur un sel de platine – le traitement standard des cancers non à petites cellules inopérables – trois molécules sont approuvées en tant que deuxième ou troisième ligne: le pémétrexed, le docétaxel et l'erlotinib. Dans cette situation spécifique, l'erlotinib est approuvé quelque soit le statut mutationnel.
Cette recommandation contraste fortement avec l'indication en première ligne des tki (géfitinib, erlotinib, afatinib) car leur prescription est ici restreinte aux patients dont la tumeur démontre une mutation 
La nausée, suite et fin
Cancer du poumon
Cas a discuter
Source : e-Thorax septembre 2013
La nausée, suite et fin
Pr Jean-Louis Pujol CHU et IRCM INSERM U 1194 - Montpellier
Quel phénomène fréquemment observé lors de l’arrêt des inhibiteurs de tyrosine kinase de l’EGF-R justifie-t-il une prise en charge rapide de la rechute ainsi démontrée ?

Le phénomène fréquemment rapporté, et que l’on doit redouter, est celui du flare.
Les patients atteints d’adénocarcinomes métastatiques ou localement avancés ont généralement un bénéfice clinique notable suite à la prescription d’un TKi (géfitinib, afatinib ou erlotinib) : un taux de réponse sous TKi de l'ordre de 60% ; une réduction d'environ 50% du risque de progression ; un temps de survie sans progression
Arthrose
Article Commenté
Source : Arthritis Care Res 2013 ; 65 :1026-33
Tabac et risque de progression dans l’arthrose : un effet « protecteur » non confirmé !
Pr René-Marc Flipo CHU - Lille
Si la physiopathogénie de l’arthrose reste méconnue, certains facteurs environnementaux sont susceptibles de participer au développement et à la progression de la maladie ; quelques études ayant ainsi suggéré un rôle plutôt protecteur de l’intoxication tabagique.
Ces auteurs ont déjà publié une première méta-analyse qui n’a pas retrouvé d’effet significatif concernant l’intoxication tabagique sur le risque incident d’arthrose (Hui R et al. Ann Rheum Dis 2011 ;70 :1231-7). Cette publication repose sur une autre méta-analyse conduite cette fois-ci à partir d’études observationnelles et pour 
De l'intérêt de la classification pronostique moléculaire
Neuro-oncologie
Cas Clinique
De l'intérêt de la classification pronostique moléculaire
Dr Karima Mokhtari GHP Salpêtrière - paris
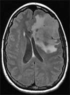
Clinique : femme de 31 ans, céphalées depuis 2 mois, parésie du membre supérieur droit.
 
Quel est votre diagnostic ?
 
Imagerie IRM conventionnelle :
Lésion frontale gauche cortico-sous-corticale, relativement bien limitée, en hypersignal FLAIR hétérogène avec petites zones nécrotico-kystiques en profondeur. Œdème périlésionnel modéré, mais effet de masse tumoral notable sur les sillons adjacents et la ligne médiane.
La masse est hypointense en T1. Prise de contraste nette, hétérogène, prédominante en zone profonde après injection 
Maladie thromboembolique : cardiologie
Article Commenté
Source : Hypertension. 2013 Jul 8. [Epub ahead of print]
L’efficacité de la dénervation rénale serait-elle liée à une amélioration de l’observance ?
Dr Isabelle Pierre Nantes
Il n’est pas clair de déterminer si une des explications à l’efficacité de la dénervation rénale est l’amélioration de l’observance des patients liée à une meilleure sensibilisation à l’hypertension.
Les auteurs de cette étude ont ainsi évalué les effets de la dénervation rénale chez des patients présentant une hypertension résistante après avoir exclu les patients non observants.
L’étude a inclus 18 patients présentant une hypertension résistante adressés pour évaluation. Une hypertension résistante était définie par une pression artérielle > 140 mmHg au cabinet malgré au moins une trithérapie 
Page 2506 sur 3497        Premier  Précédent  2501  2502  2503  2504  2505  2506  2507  2508  2509  2510  Suivant  Dernier
Le village sport & santé