Envoi du mail en cours
 

Toutes les actualités scientifiques

Page 2896 sur 3559        Premier  Précédent  2891  2892  2893  2894  2895  2896  2897  2898  2899  2900  Suivant  Dernier
Abstract
Source : J. Rheumatol. 2009; 36: 1287-9
Uricémie pendant la crise de goutte
Dr Véra Lemaire Paris
Trois cent quatre vingt dix-neuf patients qui avaient une crise de goutte, ont été inclus dans une étude du traitement par l’indomethacine ou l’etorecoxib. Les deux médicaments ont eu la même efficacité. L’âge moyen était de 50,5 ans, 94% étaient des hommes.14% des patients avaient une uricémie inférieure à 60mg/l et 32% inférieure à 80mg pendant la crise de goutte. Les patients
Os
Abstract
Source : Lancet 2009; 373: 1253-63
Prévention de l’ostéoporose post-cortisonique par l’acide zoledronique ou le risedronate
Dr Véra Lemaire Paris
Huit cent quatre vingt-trois patients traités par les corticoïdes à une dose supérieure à 7,5mg/j de prednisone pour une durée prévue d’au moins 12 mois, ont été inclus dans une étude de non infériorité de la prévention de l’ostéoporose post-cortisonique par 5mg intra-veineux d’acide zoledronique en une perfusion ou par 5mg/j de risedronate. 272 et 273 étaient traités depuis plus de 3 mois et 144 pour chaque médicament étaient inclus dans une étude de prévention (le traitement corticoïde étant institué depuis moins de 3 mois). 68%
Os
Abstract
Source : Radiology 2009; 251: 250-259
Embolie de ciment après vertébroplastie percutanée pour fracture vertébrale ostéoporotique
Dr Véra Lemaire Paris
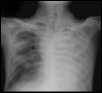
Dans une étude prospective 75 patients (57 femmes et 18 hommes, âgés en moyenne de 75 ans), qui avaient eu une vertébroplastie percutanée à 1 ou plusieurs étages (119 vertèbres injectées) pour un tassement vertébral ostéoporotique récent comme le montrait l’IRM, ont eu après le geste un scaner thoracique et vertébral de la vertèbre injectée.
Os
Abstract
Source : Osteoporos Int 2009; 20: 507-18
Facteurs de risque d’une densité osseuse basse chez l’homme âgé de plus de 50 ans
Dr Véra Lemaire Paris
L’ostéoporose de l’homme a fait l’objet d’études moins nombreuses que celle de la femme. Il est intéressant d’en connaître les facteurs de risque. Dans cette étude systématique de la littérature, 25 articles ont été retenus. Les facteurs de risque démontrés étaient l’âge, le tabagisme et le faible poids ou l’amaigrissement. La densité osseuse diminue avec l’âge de 1,5 à 2,5% par décade à la hanche dans les analyses multivariées.
Os
Abstract
Source : Osteoporos. Int. 2009; 20: 687-694
Diminution de l’incidence des fractures de hanche et de la récidive
Dr Véra Lemaire Paris
Entre 1980 et 2006, 2 752 fractures de hanche ont été recensées dans le comté d’Olmsted (Minnesota). Il y avait 76% de femmes et l’âge moyen était de 83 ans. La fréquence en était de 119 pour 100 000 personnes-année. L’incidence de première fracture de hanche a diminué chez la femme de 1,37% par an et chez l’homme de 0,06%.
Abstract
Source : Medicine 2009 ; 88 : 91-97
Facteurs associés à un cancer sous-jacent dans la dermatomyosite
Dr Véra Lemaire Paris
Pendant 13 ans dans deux services parisiens (dermatologie de l’hôpital St Louis et médecine interne de St Antoine), les dossiers des patients ayant une dermatomyosite définie (75 patients), probable (32 patients) et amyotrophiques (14 patients) ont été revus pour étudier les facteurs éventuels associés à un cancer contemporain du diagnostic ou survenu dans les 5 ans après. Les patients étaient âgés en moyenne de 52 ans, il y avait 70% de femmes.
Abstract
Source : Neurology 2009 ; 72 : 955-60
Risque de syndrome de jambes sans repos dans la neuropathie périphérique
Dr Véra Lemaire Paris
La fréquence d’un syndrome des jambes sans repos a été étudiée chez 245 patients ayant une neuropathie périphérique et 245 sujets contrôles appariés pour le sexe et l’âge par questionnaire téléphonique. Les patients qui répondaient positivement à 3 sur 4 critères étaient examinés par un spécialiste des mouvements anormaux.
Statines : pas de diminution du risque de pneumopathie
Article Commenté
Statines : pas de diminution du risque de pneumopathie
Dr Sophie Florence Paris
Parmi les personnes âgées, en bonne santé, vivant à domicile, un traitement par statines ne baisse pas le risque de survenue de pneumopathie. Des chercheurs américains viennent de publier, dans le British Medical Journal, les résultats d’une étude cas témoins allant à l’encontre de ceux de diverses études observationnelles antérieures.
Pesticides et maladie de Parkinson, le lien se confirme
Article Commenté
Pesticides et maladie de Parkinson, le lien se confirme
Mme Marie Lestelle Issy-les-Moulineaux
Une équipe française a montré que l’exposition professionnelle aux pesticides doublait quasiment le risque de survenue de la maladie de Parkinson chez les agriculteurs. Ce risque augmente avec le nombre d’années d’exposition et est principalement lié à l’usage d’insecticides, notamment de type organochlorés. Ces résultats sont publiés en ligne dans Annals of Neurology.
Os
Article Commenté
Anti-dépresseurs et risque de fracture hanche/fémur
Pr Sophie Roux Rhumatologie - Sherbrooke
La dépression est associée à une DMO basse dans certaines études, mais les mécanismes sous-jacents sont inconnus. Un des mécanismes impliqués dans la diminution de la DMO et l’augmentation du risque de fracture (Fx) pourrait être lié à la dépression elle-même, responsable en particulier d’une diminution du taux plasmatique des stéroïdes sexuels et de l’augmentation de celui du cortisol. Toutefois les anti-dépresseurs sérotoninergiques, comme les ISRS (Inhibiteurs sélectifs de la recapture de la sérotonine), pourraient y contribuer.
Des récepteurs de la sérotonine et des transporteurs sérotoninergiques ont été documentés
Os
Article Commenté
Sérotonine : connexion entre l’os, le cerveau et l’intestin
Pr Sophie Roux Rhumatologie - Sherbrooke
Cet article est une synthèse sur le nouveau concept suggérant une relation entre certains neuromédiateurs (sérotonine), la voie Wnt/LRP5 et la formation osseuse, par un effet périphérique, et non une action sur le SNC. Dans de récents travaux (Yadav et al. Cell 2008), la relation entre la production intestinale de sérotonine, LRP5 (co-activateur de la voie Wnt), et l’effet délétère de la sérotonine sur la masse osseuse a été élucidée.
La voie Wnt est particulièrement critique dans la formation osseuse. Les protéines Wnt se lient à un complexe récepteur composé d’un « frizzled » récepteur couplé à une G-protéine, et un co-récepteur,
Os
Article Commenté
Denosumab (anti-RANKL) dans un modèle murin d’ostéoporose cortico-induite
Pr Sophie Roux Rhumatologie - Sherbrooke
La corticothérapie systémique est responsable d’une perte osseuse rapide et d’une augmentation du risque de fracture. La pathogénie de la perte osseuse sous corticoïdes est complexe, et fait intervenir une augmentation initiale de la résorption osseuse, et par la suite l’effet prédominant est une inhibition de la formation osseuse. Les glucocorticoïdes stimulent l’expression de RANKL et diminuent celle de l’ostéorotégérine.
Étude
Afin d’évaluer les effets du Denosumab, un anticorps anti-RANKL complètement humain, qui inhibe le RANKL humain, mais pas le RANKL murin,
Page 2896 sur 3559        Premier  Précédent  2891  2892  2893  2894  2895  2896  2897  2898  2899  2900  Suivant  Dernier
Le village sport & santé