Envoi du mail en cours
 

Toutes les actualités scientifiques

Page 3136 sur 3553        Premier  Précédent  3131  3132  3133  3134  3135  3136  3137  3138  3139  3140  Suivant  Dernier
Abstract
Source : Arthr. Rheum. 2007;56:820-30
Corticoïdes et évènements cardio-vasculaires dans la polyarthrite rhumatoïde
Dr Véra Lemaire Paris
603 patients qui avaient une PR incidente entre 1955 et 1995 ont été suivis en moyenne 13 ans à la Mayo clinique. 210 sont restés négatifs pour le facteur rhumatoïde, 393 étaient positifs. 73% étaient des femmes, et l’âge moyen était de 58 ans. Il y avait une tendance à une plus grande sévérité de la PR avec l’augmentation des doses cumulatives de corticoïdes chez les PR séropositives et à un moindre degré chez les PR séronégatives. 232 patients ont eu une complication cardiovasculaire grave : 41 infarctus du myocarde, 172 insuffisances cardiaques et 176 morts d’origine...
Abstract
Source : Arthr. Rheum. 2007;56:790-98
Incidence des cancers, survie et rhumatismes inflammatoires
Dr Véra Lemaire Paris
L’incidence des cancers et la survie ont été étudiées de façon prospective dans une cohorte de 2105 rhumatismes inflammatoires diagnostiqués entre 1990 et 1999. 60% des patients remplissaient après 5 ans les critères de PR de l’ACR. L’âge moyen était de 53,7 ans, 67% étaient des femmes, 35% avaient du facteur rhumatoïde, 47% avaient utilisé un traitement à action retardée, 48% avaient des érosions. Après un suivi de 8,4 ans, il y a eu 123 cas de cancers incidents (en excluant les cancers cutanés non mélanomes et les carcinomes in situ) et cette incidence n’était pas...
Syndromes coronariens aigus à 90 ans : de l’intérêt des guidelines
Article Commenté
Syndromes coronariens aigus à 90 ans : de l’intérêt des guidelines
Dr Gérard Megret Paris
Toutes les analyses rétrospectives mais surtout toutes les projections démographiques concordent : le vieillissement de la population française est constant et inéluctable. Il y a moins d’une décennie, la dernière tranche d’âge concernait les « 65 ans et plus ». Désormais apparaissent dans les statistiques les « 85 ans et plus » car ils sont passés de 200.000 dans les années 1950 à plus de 1.000.000 à partir de l’an 2000. Pour autant, cette population a du mal à s’imposer dans les données épidémiologiques et dans les essais cliniques. Une étude américaine de grande envergure sur une pathologie coronarienne aiguë chez les sujets de plus de 90 ans vient à point pour susciter l’intérêt des travaux cliniques dans cette population en augmentation.
Les estrogènes avant 65 ans au secours de la maladie d’Alzheimer ?
Article Commenté
Les estrogènes avant 65 ans au secours de la maladie d’Alzheimer ?
Dr Gérard Megret Paris
Une composante héréditaire possible puisqu'il y a trois fois plus de risque de développer l’affection en cas d’antécédent chez les parents ; des facteurs de risque non déterminants mais soulignés, tels que le niveau d’éducation voire le sexe – la femme – ; mais surtout l’âge, élément quasi déclenchant puisque après 85 ans, près de 20% de la population en est atteinte tandis que chez les centenaires le taux monte à 60%. Avec 110 à 120.000 nouveaux cas par an en France, la maladie d’Alzheimer (MA) va constituer la pathologie neurodégénérative la plus préoccupante en matière de santé publique. Aussi, tout facteur extrinsèque pouvant se révéler (plus ou moins) protecteur vis-à-vis de la MA intéresse au premier chef les cliniciens.
Vaccin quadrivalent contre le VPH en prévention des lésions cervicales de haut grade : quelle efficacité ?
Article Commenté
Vaccin quadrivalent contre le VPH en prévention des lésions cervicales de haut grade : quelle efficacité ?
Dr Marco Dutra Santor - Boulogne
On sait que le virus du papillome humain (VPH) est un agent infectieux sexuellement transmissible. Il touche aussi bien les hommes que les femmes. Le plus souvent, l'infection passe inaperçue et disparaît spontanément. Mais chez certaines femmes, elle peut évoluer vers des anomalies du col de l'utérus et éventuellement vers un cancer du col de l'utérus. Le vaccin contre le virus du VPH a été commercialisé en France vers la fin 2006. Ce vaccin s'adresse aux jeunes filles avant ou au tout début de leur vie sexuelle. On sait également que les types 16 (VPH-16) et 18 (VPH-18) du VPH provoquent environ 70% des cancers du col de l'utérus dans le monde. Une équipe de chercheurs américains a mené un essai de phase III afin d'évaluer un vaccin quadrivalent contre les types 6, 11, 16 et 18 (VPH-6/11/16/18) du VPH en prévention des lésions cervicales de haut grade associées au VPH-16 et au VPH-18. Les résultats de leurs travaux viennent d'être rendus publics et représentent un espoir pour des millions de femmes.
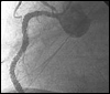
Angioplastie percutanée coronaire primaire : administration intracoronaire de streptokinase juste après
Article Commenté
Angioplastie percutanée coronaire primaire : administration intracoronaire de streptokinase juste après
Dr Marco Dutra Santor - Boulogne
La perfusion microvasculaire est souvent altérée à la suite d'une angioplastie percutanée coronaire (APC) primaire. Une équipe de chercheurs turques a émis une hypothèse selon laquelle des phénomènes de thrombose in situ seraient susceptibles de contribuer à la médiocrité de la perfusion myocardique dans ce contexte. Afin de tester cette hypothèse, ils ont évalué l'effet de la streptokinase à faible dose administrée par voie intracoronaire immédiatement après une APC primaire. Les résultats de leurs études viennent d’être rendus publics dans la presse médicale.
Risque de cancer du testicule : âge au moment d'une intervention chirurgicale
Article Commenté
Risque de cancer du testicule : âge au moment d'une intervention chirurgicale
Dr Marco Dutra Santor - Boulogne
La cryptorchidie, qui constitue un facteur de risque de cancer du testicule, est habituellement traitée par chirurgie, mais on ne sait pas clairement si l'âge au moment du traitement a le moindre effet sur le risque. Une équipe européenne a étudié la relation entre l'âge, le moment de la cryptorchidie et le risque de cancer du testicule. Les résultats de leurs études viennent d'être publiés dans les dernières pages du New England Journal of Medicine.
Ostéoporose : administration d'acide zolédronique
Article Commenté
Ostéoporose : administration d'acide zolédronique
Dr Marco Dutra Santor - Boulogne
L'acide zolédronique est un bisphosphonate indiqué pour l'hypercalcémie induite par les tumeurs, et en cours d'évaluation dans l'indication ostéoporose. Des études ont montré qu'une perfusion intraveineuse unique d'acide zolédronique entraîne une diminution du remodelage osseux et une amélioration de la densité osseuse à 12 mois chez les femmes ménopausées atteintes d'ostéoporose. Une équipe internationale de chercheurs a voulu évaluer sur une période de 3 ans, les effets sur le risque de fracture de l'acide zolédronique administré en une perfusion unique annuelle. Les résultats de leurs travaux, en double aveugle contre placebo, viennent d'être rendus publics dans la presse médicale.
Fonctions cognitives chez les diabétiques : effets à long terme du traitement
Article Commenté
Fonctions cognitives chez les diabétiques : effets à long terme du traitement
Dr Marco Dutra Santor - Boulogne
Il y a plus d'une décennie, des études avaient évalué la diminution des fonctions cognitives liée à l'hypoglycémie. En effet, la détérioration cognitive survient normalement pour des niveaux glycémiques inférieurs au seuil de déclenchement des sécrétions hormonales et des symptômes. Matyka et coll., par exemple, utilisant le temps de réaction visuelle à quatre choix, ont clairement démontré une plus grande susceptibilité cérébrale du sujet âgé à l'hypoglycémie. Ceci a une importance clinique fondamentale : le sujet jeune ressent les signes d'alerte bien avant l'atteinte cognitive, alors que, chez le sujet âgé, la détérioration cognitive rapide entrave la réaction adaptée de « resucrage ». Les préoccupations de longue date, concernant les effets du diabète de type 1 sur les capacités cognitives, se sont intensifiées depuis le recours à des traitements conçus pour rapprocher la glycémie des normes définissant l'absence de diabète, et avec le risque accru d'hypoglycémies sévères qui l'accompagne. Intéressés par le sujet, des chercheurs constituant une équipe internationale (Epidemiology of Diabetes Interventions and Complications Study Research Group : EDIC), ont mené une étude afin d’y voir plus clair. Les résultats de leurs travaux ont été publiés hier dans le New England Journal of Medicine.
Angioplastie percutanée coronaire (APC) dans les coronaropathies stables : traitement médical optimal associé ou non ?
Article Commenté
Angioplastie percutanée coronaire (APC) dans les coronaropathies stables : traitement médical optimal associé ou non ?
Dr Marco Dutra Santor - Boulogne
L'angioplastie ou angioplastie coronaire transluminale percutanée (ACTP) est une technique utilisée pour élargir sans chirurgie une artère rétrécie. Elle consiste à positionner à l'intérieur de la partie rétrécie de l'artère un cathéter dont l’extrémité est équipée d'un ballon gonflable. Cependant, chez les patients présentant une coronaropathie stable, on n’a pas de certitude quant à la supériorité d'une stratégie de prise en charge initiale par angioplastie percutanée coronaire (APC) accompagnée d'un traitement pharmacologique intensif et d'une intervention sur le mode de vie (traitement médical optimal), par rapport au traitement médical optimal seul, pour la réduction du risque d'événements cardiovasculaires. Une équipe de chercheurs nord-américains s’est intéressée au sujet et a mené une étude dont les résultats viennent d’être rendus publiques.
Endoscopie chez les patients présentant une hémorragie gastro-intestinale : quid de l’administration d'oméprazole avant ?
Article Commenté
Endoscopie chez les patients présentant une hémorragie gastro-intestinale : quid de l’administration d'oméprazole avant ?
Dr Marco Dutra Santor - Boulogne
On sait que l'endoscopie est une technique d'exploration et d'imagerie médicale qui permet de visualiser l'intérieur (« endon » en grec) du tube digestif et des cavités du corps. Des nouvelles méthodes endoscopiques, comme l'ingestion d'une capsule munie d'une caméra vidéo de la taille d'une gélule, sont encore à un stade expérimental et pourront, peut-être dans l'avenir, révolutionner l'exploration du tube digestif. Cependant, même si ces techniques deviennent courantes, elles ne sont pas pour autant aussi « simples » à exécuter. En effet, nombre de paramètres doivent être pris en compte. Parmi eux, un pH gastrique neutre est primordial pour la stabilité des caillots au niveau des artères qui saignent. Une équipe de chercheurs chinois a voulu ainsi savoir quel était l'effet d'une perfusion préemptive d'oméprazole (inhibiteur de la pompe à protons [IPP]), pratiquée avant l'endoscopie, sur la nécessité de recourir à un traitement endoscopique. Les résultats de leurs travaux viennent d'être rendus publics.
Etude DAD : antirétroviraux et risque d'infarctus du myocarde
Article Commenté
Etude DAD : antirétroviraux et risque d'infarctus du myocarde
Dr Marco Dutra Santor - Boulogne
Des données issues de l’étude DAD (Data Collection on Adverse event of anti-HIV Drugs) avaient déjà révélé en 2003 un risque accru de 26% pour l'infarctus du myocarde par année d’exposition aux antirétroviraux. En 2004, de nouvelles données ont montré que ces médicaments augmentaient aussi d’un pourcentage similaire les risques de congestions cérébrales et d’autres événements cardio- et cérébro-vasculaires. Cependant, les différences éventuelles affectant cette association en fonction de la classe de médicaments antirétroviraux n’étaient pas claires. Ainsi les chercheurs du DAD Study Group ont décidé de mener une étude afin d'investiguer l'association entre le risque d'infarctus du myocarde et l'exposition cumulative aux inhibiteurs de la protéase et aux inhibiteurs non nucléosidiques de la transcriptase inverse. Les résultats viennent d'être rendus publics dans les pages du New England Journal of Medicine.
Page 3136 sur 3553        Premier  Précédent  3131  3132  3133  3134  3135  3136  3137  3138  3139  3140  Suivant  Dernier
Le village sport & santé