Envoi du mail en cours
 

Toutes les actualités scientifiques

Page 3313 sur 3551        Premier  Précédent  3308  3309  3310  3311  3312  3313  3314  3315  3316  3317  Suivant  Dernier
Pediatrie endocrinienne
Article Commenté
Effets psycho-cognitifs et psycho-comportementaux associés au traitement par hormone de croissance chez des enfants avec un RCIU
Melle Bruno Leheup CHU de Nancy, Hôpital d’enfants de Brabois - VANDOEUVRE
Par Bruno Leheup (Médecine Infantile et Génétique Clinique, Hôpital d'Enfants, CHU de Nancy) Articles commentés : voir références en bas de page
Parmi les enfants nés « légers » et/ou ou « courts » (conformément à la définition du RCIU), plus de 90% vont présenter un rattrapage statural dans les 2 à 3 premières années de vie. Au delà de 3 ans la probabilité de rattrapage devient très faible avec un risque de petite taille adulte. C’est ce risque statural qui a conduit à utiliser l’hormone de croissance dans cette indication maintenant bien...
Hypophyse
Article Commenté
Effet du traitement somatostatinergique sur le syndrome des apnées du sommeil et le volume de la langue d ans l’acromégalie
Dr Magali Gueydan CHU La Timone - Marseille
Hypophyse
Article Commenté
La poursuite du traitement par GH à l’âge adulte chez des patients atteints de déficit acquis pendant l’enfance, n’améliore pas seulement le développement osseux
Dr Emmanuel Sonnet CHU Brest - Brest
Article Commenté
Le taux de testostérone augmente avec le traitement de la dysfonction érectile
Dr Marco Dutra Santor - Boulogne
Le nombre de molécules disponibles pour traiter les troubles de l’érection a augmenté de façon très rapide ces dernières années, parallèlement à une meilleure compréhension des bases scientifiques de l’érection et ses troubles. Ainsi les chercheurs ont constaté que le manque d’activité sexuel du à une dysfonction érectile s’accompagne chez l’homme d’une baisse du niveau de la testostérone. Dans un article publié dans la revue Clinical Endocrinology une équipe italienne rapporte les résultats obtenus par un traitement à base d’inhibiteurs de la phosphodiestérase sur le taux de testostérone.
Article Commenté
Les anticorps anticardiolipines : facteur de risque de claudication intermittente ?
Dr Marc Lambert CHRU de Lille - Lille
Article Commenté
Intervention à cœur ouvert chez le nourrisson : sang total frais ou sang reconstitué ?
Dr Marco Dutra Santor - Boulogne
Afin d’essayer de réduire les effets secondaires en termes de thrombose et d’inflammation observés après circulation extracorporelle, l’utilisation de sang total frais est devenue, dans de nombreuses institutions, la méthode de référence dans la chirurgie cardiaque du nouveau-né et du nourrisson. Une équipe américaine a voulu comparer l’utilisation de cette méthode à une combinaison de culots globulaires et de plasma frais congelé (sang reconstitué) pour amorcer le circuit extracorporel. Les résultats ont été publiés dans le New England Journal of Medicine.
Article Commenté
L'hormone de croissance peut aider des enfants avec une insuffisance cardiaque
Dr Marco Dutra Santor - Boulogne
La myocardiopathie dilatée (MCD) est une atteinte primitive de la fibre cardiaque, caractérisée par une dilatation plus ou moins importante d'un ou des deux ventricules, une atteinte de la fonction ventriculaire gauche systolique avec une évolution vers l'insuffisance cardiaque progressivement irréductible et un risque de mort à tous les stades de la maladie. Les patients atteints d’une MCD présentent aussi des dérèglements dans la sécrétion de l’hormone de croissance (GH) et de l’insulin-like growth factor-1 (IGF-1). Une équipe américaine vient de publier dans l’édition en ligne de Pediatrics les résultats d’une petite étude dans laquelle les chercheurs ont essayé le GH recombinant sur des enfants.
Article Commenté
Le tabac et l'alcool altèrent la qualité du sperme
Dr Marco Dutra Santor - Boulogne
En 1992, une équipe de chercheurs danois a publié un rapport de synthèse de l'ensemble des articles scientifiques parus entre 1950 et 1992 et contenant des données sur la qualité du sperme. Ils ont constaté qu'il y a eu au cours de cette période une réduction de la concentration des spermatozoïdes contenus dans chaque éjaculat ainsi qu'une baisse du nombre d'éjaculats. Cette étude a suscité énormément d'attention et de critiques de la part de la communauté scientifique, mais elle n'en a pas moins conduit à une série d'études réalisées un peu partout dans le monde sur l'évolution de la qualité du sperme chez les humains. La dernière en date, réalisée par une équipe de chercheurs en Argentine, a été publiée dans la revue Fertility & Sterility.
Article Commenté
Prévalence de la maladie de Fabry chez les femmes avec une CMO d’apparition tardive
M. Michel De Bandt Carrières-sur-Seine
Article Commenté
De la musique pour soulager la douleur et l'anxiété des patients aux urgences
Dr Marco Dutra Santor - Boulogne
L’engorgement des urgences est un phénomène bien connu en France. Certains patients peuvent attendre parfois des heures avant d’être pris en charge par les équipes soignantes. La même chose se passe aux Etats-Unis où il n’est pas rare que les patients pour lesquels le délai d’attente est trop long se voient proposer une activité récréative telle que regarder la télévision, lire des journaux ou écouter de la musique. Cette activité, censée apaiser la douleur et l’anxiété avant l’admission, était jusqu’à ici appliquée d’une façon empirique. Une étude canadienne publiée dans le numéro d’octobre du Journal of Emergency Nursing confirme l’efficacité de la méthode.
Article Commenté
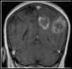
Test génétique pour évaluer le succès d’un traitement contre le cancer
Dr Marco Dutra Santor - Boulogne
Décidément on ne peut plus ignorer la génétique y compris (voire surtout) au moment de prescrire un traitement. C’est ce qui vient de constater une équipe internationale de chercheurs avec un groupe des patients atteints d’un gliome malin ou glioblastome, une tumeur maligne du cerveau provoquée par une multiplication anarchique des cellules gliales. Cette anarchie se traduit dans le nombre des cellules mais aussi dans leur structure. Lorsque les patients sont traités par la temozolomide (Temodal®, Schering-Plough) on observe chez certains d’entre eux une inhibition du développement tumoral et pas d’inhibition chez autres. La raison vient d’être découverte dans le noyau des cellules.
Article Commenté
Traitement de l’insomnie : psychothérapie versus médicaments
Dr Marco Dutra Santor - Boulogne
Les troubles du sommeil touchent une part toujours plus importante de la population. En France on estime un taux de prévalence de l’ordre de 22% : un Français sur 6 se plaint de son sommeil, soit près de 9 millions d’individus. On connaît bien l’efficacité des différentes approches thérapeutiques, que ce soit une psychothérapie comportementale ou bien un traitement médicamenteux. Cependant, jusqu’à présent aucune étude comparative contre placebo avait été réalisée pour évaluer l’efficacité des ces différentes approches, de façon isolée ou combinée. C’est désormais chose faite après la publication d’une étude américaine dans les Archives of Internal Medicine.
Page 3313 sur 3551        Premier  Précédent  3308  3309  3310  3311  3312  3313  3314  3315  3316  3317  Suivant  Dernier
Le village sport & santé