Envoi du mail en cours
 

Toutes les actualités scientifiques

Page 3316 sur 3551        Premier  Précédent  3311  3312  3313  3314  3315  3316  3317  3318  3319  3320  Suivant  Dernier
Article Commenté
Les profils de croissance influent-ils dans le risque de cancer du sein ?
Dr Marco Dutra Santor - Boulogne
Une possible association entre les profils de croissance fœtale et le risque de cancer est en discussion depuis plus d’une décennie. Le poids à la naissance comme indicateur de la croissance fœtale a été souvent utilisé comme marqueur mais les chercheurs ne sont pas d’accord entre eux car les résultats ne permettent pas de trancher. D’un autre côté, est-ce que la taille et l’indice de masse corporelle à l’âge adulte influencent-ils le risque de cancer du sein chez les femmes ? Une équipe danoise vient de publier les résultats d’une étude réalisée sur plus de 100.000 femmes qui montre que le profil de croissance pourrait être un indice valable. C’est dans le New England Journal of Medicine de cette semaine.
Article Commenté
La lamivudine est-elle efficace dans le traitement de l’hépatite B chronique avec une atteinte hépatique sévère ?
Dr Marco Dutra Santor - Boulogne
La lamivudine (Epivir®, GSK) aussi connue sous le nom de 3TC est un nucléoside inhibiteur de transcriptase inverse couramment utilisé dans le traitement du SIDA. Depuis octobre 1998 elle a été agréée par la Food and Drug Administration aux Etats-Unis pour le traitement de l'hépatite B par voie orale. On ignorait jusqu’à présent quelle était l’efficacité du traitement antiviral dans la prévention de la progression de la maladie chez les patients présentant une hépatite B chronique accompagnée d’une fibrose ou d’une cirrhose avancée. Une équipe de chercheurs asiatiques vient d’apporter la réponse en publiant les résultats de leurs recherches dans la dernière édition du New England Journal of Medicine.
Neurologie vasculaire
Compte Rendu
Neuroépidémiologie : compte rendu de la session posters à l'EFNS
Pr Pierre-Marie Preux Institut d'Epidémiologie et de Neurologie TropicaleEA 3174 - Faculté de Médecine de Limoges - Service de Neurologie - Limoges
Rapporté par Pierre-Marie Preux - Institut de Neurologie Tropicale (Limoges) d'après les communications présentées lors de la session posters du congrès de l'EFNS (European Federation of Neurological Societies) Paris, 5 septembre 2004
Cette session regroupait 14 posters, parmi lesquels 12 étaient ouverts à la discussion. 10 ont été posés mais seulement 8 auteurs étaient présents lors de la séance de discussion… Les thèmes abordés étaient variés : hérédodégénérescences, neuropathies diabétiques, états végétatifs et accidents vasculaires...
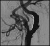
Article Commenté
Stenting carotidien versus endartériectomie chez les patients à haut risque
Dr Marco Dutra Santor - Boulogne
L'endartériectomie est considérée comme l'étalon-or pour les patients qui présentent des symptômes ou dont l'une des artères carotides (ou les deux) est à un stade avancé de sténose. Le but de l'intervention est de prévenir ou de réduire le risque d'AVC causé par une oblitération carotidienne extracrânienne. Si on la compare à la chirurgie, la pose d'un stent carotidien est une intervention à effraction minimale moins traumatique qui donne le même résultat, selon les plus récentes données cliniques publiées par les centres qui participent à ces recherches. Une étude randomisée américaine publiée dans la dernière édition du New England Journal of Medicine vient d’apporter des nouvelles données qui abondent dans ce sens.
Oncologie générale
Article Commenté
Supplémentation vitaminique : attention danger !
Dr Marco Dutra Santor - Boulogne
La diète humaine est un complexe mélange d’oxydants et d’anti-oxydants. Il est bien connu qu’un excès de ces premiers dans l’organisme peut être un facteur cancérigène en induisant des mutations génétiques dans les cellules. Jusqu’à présent on considérait que l’apport d’anti-oxydants à base de vitamines A, C, E etc. pourrait être bénéfique dans la prévention d’un certain nombre de cancers notamment les gastro-intestinaux. Or dans un article à contre-courant publié dans l’édition de cette semaine du Lancet, un chercheur européen vient de lancer un pavé dans la mare en affirmant que les anti-oxydants peuvent, bien au contraire, être dangereux !
Chirurgie pédiatrique urologique/Chirurgie pédiatrique viscérale/Oncologie générale/Traitements médicaux
Article Commenté
Du nouveau dans le traitement de la tumeur de Wilms
Dr Marco Dutra Santor - Boulogne
La tumeur de Wilms ou néphroblastome est la tumeur rénale la plus fréquemment rencontrée en pédiatrie et représente 6% des pathologies malignes de l’enfant. Son traitement associant néphrectomie, chimiothérapie voire radiothérapie, permet actuellement une guérison dans plus de 80% des cas. Les résultats d’une étude européenne publiée dans l’édition de cette semaine du Lancet suggèrent qu’une chimiothérapie plus courte peut être aussi efficace qu’un traitement de durée conventionnelle avec l’avantage de réduire au passage la toxicité de la thérapeutique et les coûts pour les établissements de soin.
Traitements médicaux
Article Commenté
Traitement antifongique des patients neutropéniques : quoi de neuf ?
Dr Marco Dutra Santor - Boulogne
Souvent, les patients neutropéniques atteints d’une fièvre persistante reçoivent un traitement empirique par amphotéricine B conventionnelle ou liposomale pour la prévention et le traitement précoce d’infections fongiques invasives. Compte tenu des effets secondaires observés avec l’amphotéricine, une équipe internationale de chercheurs a voulu évaluer si la caspofungine, membre d’une nouvelle classe de composés (les échinocandines) pouvait être une alternative efficace et mieux tolérée que l’amphotéricine. Les résultats de cette étude ont été publiés dans la dernière édition du New England Journal of Medicine.
Page 3316 sur 3551        Premier  Précédent  3311  3312  3313  3314  3315  3316  3317  3318  3319  3320  Suivant  Dernier
Le village sport & santé